Antibody data
- Antibody Data
- Antigen structure
- References [0]
- Comments [0]
- Validations
- Immunocytochemistry [1]
Submit
Validation data
Reference
Comment
Report error
- Product number
- ALX-810-213-R500 - Provider product page

- Provider
- Enzo Life Sciences
- Product name
- CD163 (human), cAb (K20-T)
- Antigen
- Synthetic peptide
- Description
- Major clone of IgGs obtained from immunoaffinity purified immunoglobulins corresponding to immunogenic peptide. Liquid. In 20mM TRIS/HCl, pH 8.0, containing 20mg/ml BSA and 0.05% sodium azide.
- Isotype
- IgG
- Antibody clone number
- K20-T
- Vial size
- 500 µl
No comments: Submit comment
Supportive validation
- Submitted by
- Enzo Life Sciences (provider)
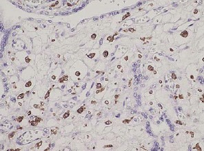
- Main image

- Experimental details
- Formalin-fixed and paraffin-embedded human placenta (4µm) stained with cAb to CD163 (human) (Prod. No. ALX-810-213) shows strong positive cytoplasmic immunostaining of monocytes and macrophages.Kindly performed and provided by Katarna Poliakov, MD and Lubomr Straka, MD, Ph.D. from Clinical Pathology Presov, Ltd., Presov, Slovakia.