Antibody data
- Antibody Data
- Antigen structure
- References [2]
- Comments [0]
- Validations
- Western blot [1]
- Immunohistochemistry [3]
Submit
Validation data
Reference
Comment
Report error
- Product number
- GTX37447 - Provider product page

- Provider
- GeneTex
- Proper citation
- GeneTex Cat#GTX37447, RRID:AB_11165849
- Product name
- CD69 antibody
- Antibody type
- Polyclonal
- Reactivity
- Human, Mouse, Rat, Guinea Pig
- Host
- Rabbit
Submitted references Therapeutic effects of adipose-derived mesenchymal stem cells against brain death-induced remote organ damage and post-heart transplant acute rejection.
VCAM1 acts in parallel with CD69 and is required for the initiation of oligodendrocyte myelination.
Yip HK, Lee MS, Sun CK, Chen KH, Chai HT, Sung PH, Lin KC, Ko SF, Yuen CM, Liu CF, Shao PL, Lee FY
Oncotarget 2017 Dec 12;8(65):108692-108711
Oncotarget 2017 Dec 12;8(65):108692-108711
VCAM1 acts in parallel with CD69 and is required for the initiation of oligodendrocyte myelination.
Miyamoto Y, Torii T, Tanoue A, Yamauchi J
Nature communications 2016 Nov 23;7:13478
Nature communications 2016 Nov 23;7:13478
No comments: Submit comment
Supportive validation
- Submitted by
- GeneTex (provider)
- Main image

- Experimental details
- WB analysis of mouse spleen (lane 1), rat thymus (lane 2), mouse adipose (lane 3), mouse lung (lane 4), human lung cancer (lane 5), human thyroid cancer (lane 6) lysate using GTX37447 CD69 antibody.Working conentration : 1 ug/ml
Supportive validation
- Submitted by
- GeneTex (provider)
- Main image

- Experimental details
- IHC-P analysis of human lung carcinoma tissue using CD69 antibody at a dilution of 1:200.
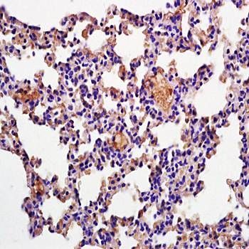
- Submitted by
- GeneTex (provider)
- Main image

- Experimental details
- IHC-P analysis of mouse lung tissue using CD69 antibody at a dilution of 1:200.
- Submitted by
- GeneTex (provider)
- Main image

- Experimental details
- IHC-P analysis of guinea pig lymph node tissue using GTX37447 CD69 antibody.Working conentration : 2.5 ug/ml