Antibody data
- Antibody Data
- Antigen structure
- References [5]
- Comments [0]
- Validations
- Western blot [1]
- Immunohistochemistry [2]
Submit
Validation data
Reference
Comment
Report error
- Product number
- 18996-1-AP - Provider product page

- Provider
- Proteintech Group
- Proper citation
- Proteintech Cat#18996-1-AP, RRID:AB_10596624
- Product name
- OCT2-Specific antibody
- Antibody type
- Polyclonal
- Description
- OCT2-Specific antibody (Cat. #18996-1-AP) is a rabbit polyclonal antibody that shows reactivity with human, mouse, rat and has been validated for the following applications: IHC, WB,ELISA.
- Reactivity
- Human, Mouse, Rat
- Host
- Rabbit
- Conjugate
- Unconjugated
- Isotype
- IgG
- Vial size
- 20ul, 150ul
Submitted references Receptor for activated C kinase 1 promotes cervical cancer lymph node metastasis via the glycolysis‑dependent AKT/mTOR signaling.
CBX7 represses the POU2F2 to inhibit the PD-L1 expression and regulate the immune response in bladder cancer.
Comparisons of segment-specific toxicity of platinum-based agents and cadmium using S1, S2, and S3 cells derived from mouse kidney proximal tubules.
miR-3687 Overexpression Promotes Bladder Cancer Cell Growth by Inhibiting the Negative Effect of FOXP1 on Cyclin E2 Transcription.
Aging increases the susceptibility of cisplatin-induced nephrotoxicity.
Xu L, Li J, Tursun M, Hai Y, Tursun H, Mamtimin B, Hasim A
International journal of oncology 2022 Jul;61(1)
International journal of oncology 2022 Jul;61(1)
CBX7 represses the POU2F2 to inhibit the PD-L1 expression and regulate the immune response in bladder cancer.
Ren W, Ren J, Zhang N, Liu X, Deng Y, Jiang Y, Yan B, Xiao X, Yu H
Biochemical and biophysical research communications 2022 Jul 12;613:12-18
Biochemical and biophysical research communications 2022 Jul 12;613:12-18
Comparisons of segment-specific toxicity of platinum-based agents and cadmium using S1, S2, and S3 cells derived from mouse kidney proximal tubules.
Fujishiro H, Taguchi H, Hamao S, Sumi D, Himeno S
Toxicology in vitro : an international journal published in association with BIBRA 2021 Sep;75:105179
Toxicology in vitro : an international journal published in association with BIBRA 2021 Sep;75:105179
miR-3687 Overexpression Promotes Bladder Cancer Cell Growth by Inhibiting the Negative Effect of FOXP1 on Cyclin E2 Transcription.
Xie Q, Chen C, Li H, Xu J, Wu L, Yu Y, Ren S, Li H, Hua X, Yan H, Rao D, Zhang H, Jin H, Huang H, Huang C
Molecular therapy : the journal of the American Society of Gene Therapy 2019 May 8;27(5):1028-1038
Molecular therapy : the journal of the American Society of Gene Therapy 2019 May 8;27(5):1028-1038
Aging increases the susceptibility of cisplatin-induced nephrotoxicity.
Wen J, Zeng M, Shu Y, Guo D, Sun Y, Guo Z, Wang Y, Liu Z, Zhou H, Zhang W
Age (Dordrecht, Netherlands) 2015 Dec;37(6):112
Age (Dordrecht, Netherlands) 2015 Dec;37(6):112
No comments: Submit comment
Supportive validation
- Submitted by
- Proteintech Group (provider)
- Main image

- Experimental details
- mouse thymus tissue were subjected to SDS PAGE followed by western blot with 18996-1-AP(POU2F2-Specific antibody) at dilution of 1:300
- Sample type
- tissue
Supportive validation
- Submitted by
- Proteintech Group (provider)
- Main image

- Experimental details
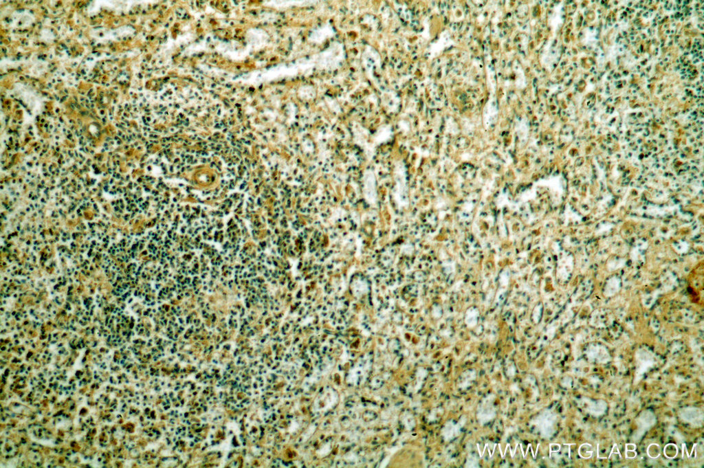
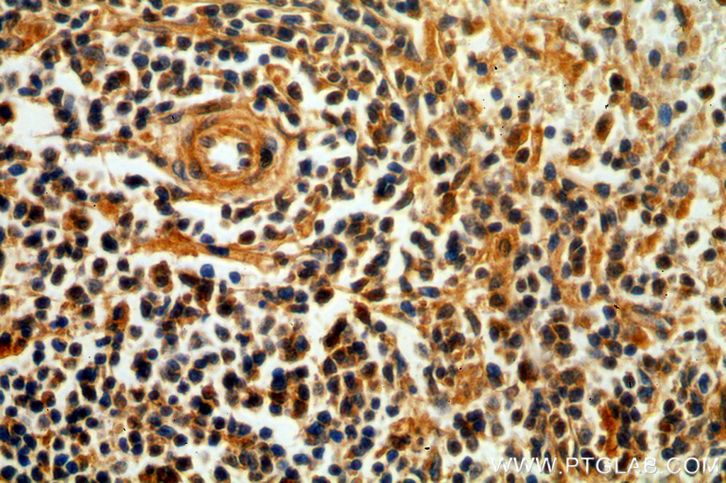
- Immunohistochemical of paraffin-embedded human spleen using 18996-1-AP(POU2F2-Specific antibody) at dilution of 1:100 (under 10x lens)
- Sample type
- tissue
- Submitted by
- Proteintech Group (provider)
- Main image

- Experimental details
- The OCT2-Specific antibody from Proteintech is a rabbit polyclonal antibody to a peptide of human OCT2-Specific. This antibody recognizes human,mouse,rat antigen. The OCT2-Specific antibody has been validated for the following applications: ELISA, WB, IHC analysis.