Antibody data
- Antibody Data
- Antigen structure
- References [0]
- Comments [0]
- Validations
- Western blot [2]
- ELISA [1]
- Immunohistochemistry [2]
- Flow cytometry [1]
Submit
Validation data
Reference
Comment
Report error
- Product number
- GTX60537 - Provider product page

- Provider
- GeneTex
- Product name
- PAI-1 antibody [1D5]
- Antibody type
- Monoclonal
- Reactivity
- Human, Mouse
- Host
- Mouse
No comments: Submit comment
Supportive validation
- Submitted by
- GeneTex (provider)
- Main image

- Experimental details
- WB analysis of human SERPINE1 (a.a. 194-316) recombinant protein using SERPINE1 antibody [1D5].
- Submitted by
- GeneTex (provider)
- Main image

- Experimental details
- WB analysis of lysates from (1) untransfected and (2) SERPINE1 (a.a. 194-316)-hIgGFc transfected HEK293 cells using SERPINE1 antibody [1D5].
Supportive validation
- Submitted by
- GeneTex (provider)
- Main image

- Experimental details
- ELISA analysis of control antigen and antigen using SERPINE1 antibody [1D5].
Supportive validation
- Submitted by
- GeneTex (provider)
- Main image

- Experimental details
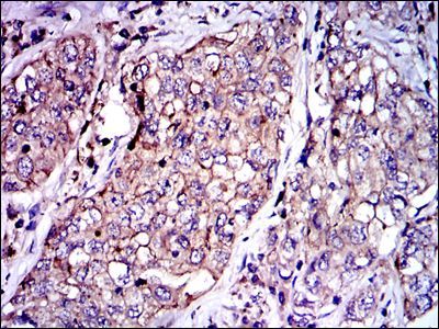
- IHC-P analysis of kidney cancer tissues using SERPINE1 antibody [1D5].
- Submitted by
- GeneTex (provider)
- Main image

- Experimental details
- IHC-P analysis of lung cancer tissues using SERPINE1 antibody [1D5].
Supportive validation
- Submitted by
- GeneTex (provider)
- Main image

- Experimental details
- FACS analysis of NIH3T3 cells using SERPINE1 antibody [1D5] (green) or a negative control (red).