Antibody data
- Antibody Data
- Antigen structure
- References [0]
- Comments [0]
- Validations
- Western blot [1]
- ELISA [1]
- Immunocytochemistry [1]
- Immunohistochemistry [2]
Submit
Validation data
Reference
Comment
Report error
- Product number
- AM06581SU-N - Provider product page

- Provider
- Acris Antibodies GmbH
- Proper citation
- Acris Antibodies GmbH Cat#AM06581SU-N, RRID:AB_11215187
- Product name
- anti CRTC3
- Antibody type
- Monoclonal
- Antigen
- Purified recombinant fragment of human CRTC3 expressed in E. Coli.
- Reactivity
- Human, Simian
- Host
- Mouse
- Isotype
- IgG
- Antibody clone number
- 5G9
- Vial size
- 0.1 ml
No comments: Submit comment
Supportive validation
- Submitted by
- Acris Antibodies GmbH (provider)
- Main image

- Experimental details
- Western blot analysis using CRTC3 mouse mAb against Hela (1), Jurkat (2), Cos7 (3) and MCF-7 (4) cell lysate.
Supportive validation
- Submitted by
- Acris Antibodies GmbH (provider)
- Main image

Supportive validation
- Submitted by
- Acris Antibodies GmbH (provider)
- Main image

- Experimental details
- Immunofluorescence analysis of NTERA-2 cells using CRTC3 mouse mAb (green). Red: Actin filaments have been labeled with Alexa Fluor-555 phalloidin.
Supportive validation
- Submitted by
- Acris Antibodies GmbH (provider)
- Main image

- Experimental details
- Immunohistochemical analysis of paraffin-embedded lung cancer (left) and esophagus cancer (right) using CRTC3 mouse mAb with DAB staining.
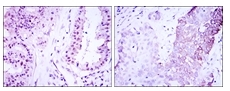
- Submitted by
- Acris Antibodies GmbH (provider)
- Main image

- Experimental details
- Immunohistochemical analysis of paraffin-embedded breast cancer (left) and ovarian cancer (right) using CRTC3 mouse mAb with DAB staining.