Antibody data
- Antibody Data
- Antigen structure
- References [0]
- Comments [0]
- Validations
- Western blot [2]
- Immunohistochemistry [1]
Submit
Validation data
Reference
Comment
Report error
- Product number
- MAB8489 - Provider product page

- Provider
- R&D Systems
- Product name
- Human Napsin A Antibody
- Antibody type
- Monoclonal
- Description
- Protein A or G purified from cell culture supernatant. Detects human Napsin A in direct ELISAs and Western blots.
- Reactivity
- Human
- Host
- Rabbit
- Conjugate
- Unconjugated
- Antigen sequence
O96009- Isotype
- IgG
- Antibody clone number
- 1265A
- Vial size
- 100 ug
- Storage
- Use a manual defrost freezer and avoid repeated freeze-thaw cycles. 12 months from date of receipt, -20 to -70 °C as supplied. 1 month, 2 to 8 °C under sterile conditions after reconstitution. 6 months, -20 to -70 °C under sterile conditions after reconstitution.
No comments: Submit comment
Supportive validation
- Submitted by
- R&D Systems (provider)
- Main image

- Experimental details
- Detection of Human Napsin A by Western Blot. Western blot shows lysates of human lung tissue and human kidney tissue. PVDF membrane was probed with 0.5 µg/mL of Rabbit Anti-Human Napsin A Monoclonal Antibody (Catalog # MAB8489) followed by HRP-conjugated Anti-Rabbit IgG Secondary Antibody (Catalog # HAF008). A specific band was detected for Napsin A at approximately 35 kDa (as indicated). This experiment was conducted under reducing conditions and using Immunoblot Buffer Group 1.
- Submitted by
- R&D Systems (provider)
- Main image

- Experimental details
- Detection of Human Napsin A by Simple WesternTM. Simple Western lane view shows lysates of human lung tissue, loaded at 0.2 mg/mL. A specific band was detected for Napsin A at approximately 46 kDa (as indicated) using 5 µg/mL of Rabbit Anti-Human Napsin A Monoclonal Antibody (Catalog # MAB8489) . This experiment was conducted under reducing conditions and using the 12-230 kDa separation system.
Supportive validation
- Submitted by
- R&D Systems (provider)
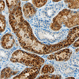
- Main image

- Experimental details
- Napsin A in Human Kidney. Napsin A was detected in immersion fixed paraffin-embedded sections of human kidney using Rabbit Anti-Human Napsin A Monoclonal Antibody (Catalog # MAB8489) at 1 µg/mL overnight at 4 °C. Tissue was stained using the Anti-Rabbit HRP-DAB Cell & Tissue Staining Kit (brown; Catalog # CTS005) and counterstained with hematoxylin (blue). Specific staining was localized to cytoplasm in convoluted tubules. View our protocol for Chromogenic IHC Staining of Paraffin-embedded Tissue Sections.