Antibody data
- Antibody Data
- Antigen structure
- References [0]
- Comments [0]
- Validations
- Western blot [1]
- Immunohistochemistry [1]
Submit
Validation data
Reference
Comment
Report error
- Product number
- 10-7568 - Provider product page

- Provider
- ABEOMICS Inc.
- Product name
- Anti-Napsin A Antibody
- Antibody type
- Monoclonal
- Description
- Napsin A, a human aspartic proteinase is found primarily in type II pneumocytes and alveolar macrophages and predominantly expressed in lung and kidney. It is a reliable marker for pulmonary adenocarcinoma and is expressed in a subset of ovarian clear cell carcinomas (O-CCCs), endometrial (EM) CCCs, and endometrioid carcinomas (EC). It is also useful in evaluating SH (Sclerosing hemangiomas) (23194051). Napsin A acts as an anti-apoptotic protein that promotes resistance to cisplatin by degradation of the tumor suppressor p53, which is regulator of the cell cycle and co-works with cyclin kinase inhibitors as p21 and p27.
- Reactivity
- Human
- Host
- Mouse
- Conjugate
- Unconjugated
- Antigen sequence
A partial length recombinant Napsin
protein (amino acids 150-350) was
used as the immunogen for this anti
body- Isotype
- IgG
- Antibody clone number
- ABM4H60
- Vial size
- 100 µg
- Concentration
- 0.5 mg/ml
- Storage
- Store the antibody at 4°C, stable for 6 months. For long-term storage, store at -20°C. Avoid repeat freez thawing
No comments: Submit comment
Supportive validation
- Submitted by
- ABEOMICS Inc. (provider)
- Main image

- Experimental details
- Western blot analysis of Napsin A. Anti-Napsin A antibody (Clone: ABM4H60) was tested at 2 µg/ml on (1) A549 and (2) HepG2 lysates.
- Protocol
- Protocol
Supportive validation
- Submitted by
- ABEOMICS Inc. (provider)
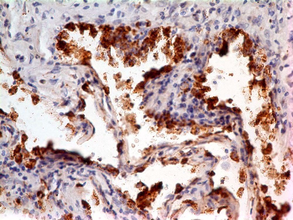
- Main image

- Experimental details
- Immunohistochemical analysis of Napsin in Lung Adenocarcinoma tissue using Napsin antibody (Clone: ABM4H60) at 5 µg/ml.
- Protocol
- Protocol