11206
antibody from Signalway Antibody LLC
Targeting: CDKN1A
CAP20, CDKN1, CIP1, P21, p21CIP1, p21Cip1/Waf1, SDI1, WAF1
Antibody data
- Antibody Data
- Antigen structure
- References [0]
- Comments [0]
- Validations
- Immunohistochemistry [1]
Submit
Validation data
Reference
Comment
Report error
- Product number
- 11206 - Provider product page

- Provider
- Signalway Antibody LLC
- Product name
- p21Cip1(Phospho-Thr145) Antibody
- Antibody type
- Polyclonal
- Antigen
- The antibody detects endogenous level of p21Cip1 only when phosphorylated at threonine 145.
- Host
- Rabbit
- Conjugate
- Unconjugated
- Vial size
- 50µl
No comments: Submit comment
Supportive validation
- Submitted by
- Signalway Antibody LLC (provider)
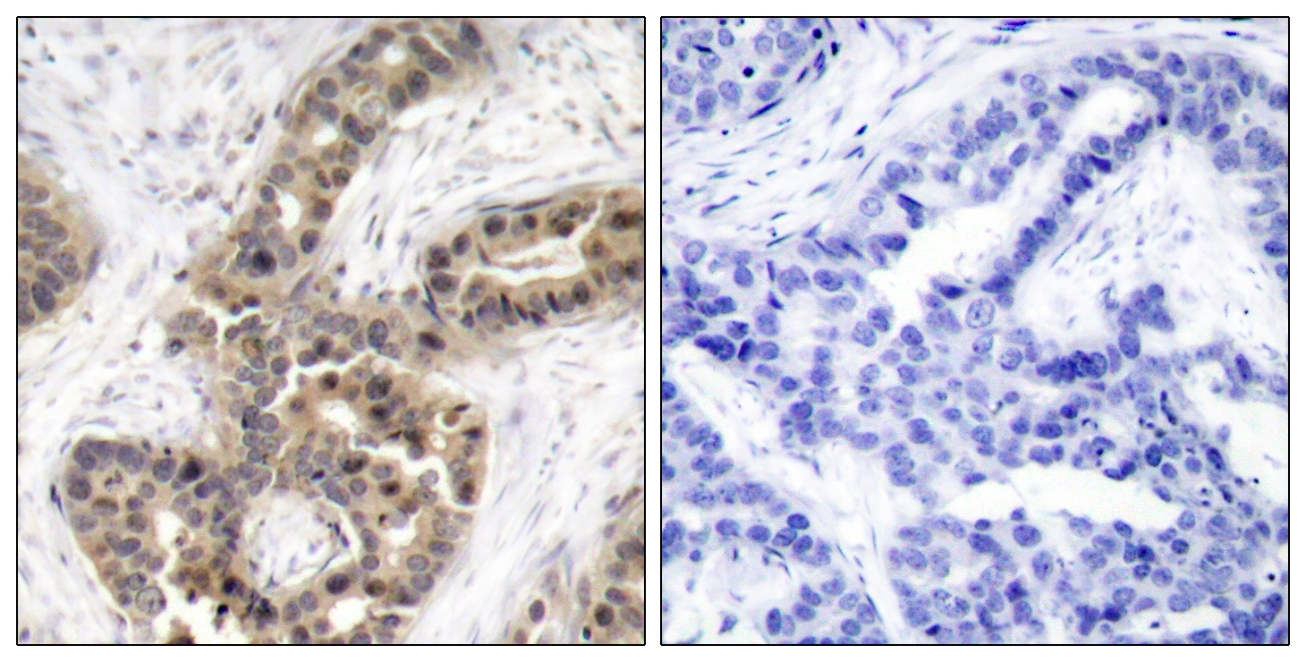
- Main image

- Experimental details
- Immunohistochemical analysis of paraffin-embedded human breast carcinoma tissue using p21Cip1(Phospho-Thr145) Antibody #11206(left) or the same antibody preincubated with blocking peptide(right).