bs-0741R
antibody from Bioss
Targeting: CDKN1A
CAP20, CDKN1, CIP1, P21, p21CIP1, p21Cip1/Waf1, SDI1, WAF1
Antibody data
- Antibody Data
- Antigen structure
- References [4]
- Comments [0]
- Validations
- Immunohistochemistry [1]
Submit
Validation data
Reference
Comment
Report error
- Product number
- bs-0741R - Provider product page

- Provider
- Bioss
- Proper citation
- Bioss Cat#bs-0741R, RRID:AB_10855619
- Product name
- CDKN1A Polyclonal Antibody
- Antibody type
- Polyclonal
- Description
- KLH conjugated synthetic peptide derived from mouse P21
- Reactivity
- Human, Mouse, Rat
- Host
- Rabbit
- Conjugate
- Unconjugated
- Isotype
- IgG
- Vial size
- 100ul
- Concentration
- 1ug/ul
- Storage
- Aqueous buffered solution containing 1% BSA, 50% glycerol and 0.09% sodium azide. Store at -20°C for 12 months.
Submitted references Expression of hyperpolarization-activated cyclic nucleotide-gated channel isoforms in a canine model of atrial fibrillation.
Clinical and prognostic significance of high-mobility group box-1 in human gliomas.
DAPT in the control of human hair follicle stem cell proliferation and differentiation.
Targeting SPARC by lentivirus-mediated RNA interference inhibits cervical cancer cell growth and metastasis.
He W, Zhang J, Gan T, Xu G, Tang B
Experimental and therapeutic medicine 2016 Jul;12(1):433-436
Experimental and therapeutic medicine 2016 Jul;12(1):433-436
Clinical and prognostic significance of high-mobility group box-1 in human gliomas.
Wang XJ, Zhou SL, Fu XD, Zhang YY, Liang B, Shou JX, Wang JY, Ma J
Experimental and therapeutic medicine 2015 Feb;9(2):513-518
Experimental and therapeutic medicine 2015 Feb;9(2):513-518
DAPT in the control of human hair follicle stem cell proliferation and differentiation.
Jiang J, Miao Y, Xiao S, Zhang Z, Hu Z
Postepy dermatologii i alergologii 2014 Aug;31(4):201-6
Postepy dermatologii i alergologii 2014 Aug;31(4):201-6
Targeting SPARC by lentivirus-mediated RNA interference inhibits cervical cancer cell growth and metastasis.
Chen J, Shi D, Liu X, Fang S, Zhang J, Zhao Y
BMC cancer 2012 Oct 10;12:464
BMC cancer 2012 Oct 10;12:464
No comments: Submit comment
Supportive validation
- Submitted by
- Bioss (provider)
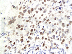
- Main image

- Experimental details
- Formalin-fixed and paraffin embedded human laryngeal squamous cell carcinoma labeled Anti-P21/CDKN1A Polyclonal Antibody, Unconjugated (bs-0741R) at 1:200, followed by conjugation to the secondary antibody and DAB staining
- Sample type
- Human
- Other comments
- Others