LS-C389945
antibody from LSBio
Targeting: CDKN1A
CAP20, CDKN1, CIP1, P21, p21CIP1, p21Cip1/Waf1, SDI1, WAF1
Antibody data
- Antibody Data
- Antigen structure
- References [0]
- Comments [0]
- Validations
- Western blot [1]
- Immunohistochemistry [2]
Submit
Validation data
Reference
Comment
Report error
- Product number
- LS-C389945 - Provider product page

- Provider
- LSBio
- Product name
- CDKN1A / WAF1 / p21 Antibody (clone DCS-60.2) LS-C389945
- Antibody type
- Monoclonal
- Description
- Protein G purified
- Reactivity
- Human
- Host
- Mouse
- Isotype
- IgG
- Antibody clone number
- DCS-60.2
- Storage
- Store at 2°C to 8°C.
No comments: Submit comment
Enhanced validation
- Submitted by
- LSBio (provider)
- Enhanced method
- Genetic validation
- Main image

- Experimental details
- Western blot testing of human MCF7 cell lysate with p21 antibody (clone DCS-60.2).
Supportive validation
- Submitted by
- LSBio (provider)
- Enhanced method
- Genetic validation
- Main image

- Experimental details
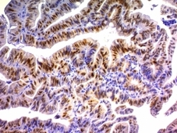
- Formalin-fixed, paraffin-embedded human colon carcinoma stained with p21 antibody (DCS-60.2). This image was taken for the unmodified form of this product. Other forms have not been tested.
- Submitted by
- LSBio (provider)
- Enhanced method
- Genetic validation
- Main image

- Experimental details
- Formalin-fixed, paraffin-embedded human colon carcinoma stained with p21 antibody (DCS-60.2). This image was taken for the unmodified form of this product. Other forms have not been tested.