Antibody data
- Antibody Data
- Antigen structure
- References [1]
- Comments [0]
- Validations
- Immunohistochemistry [1]
Submit
Validation data
Reference
Comment
Report error
- Product number
- P00039-1 - Provider product page

- Provider
- Boster Biological Technology
- Product name
- Anti-Phospho-Rb (S807) RB1 Rabbit Monoclonal Antibody
- Antibody type
- Monoclonal
- Description
- Monoclonal antibody for CLEAVED RETINOBLASTOMA 1/RB1 detection. Host: Rabbit.Size: 100ug/vial. Tested applications: IF, IHC, ICC, WB. Reactive species: Human, Mouse, Rat CLEAVED RETINOBLASTOMA 1/RB1 information: Molecular Weight: 106159 MW; Subcellular Localization: Nucleus ; Tissue Specificity: Expressed in the retina.
- Reactivity
- Human, Mouse, Rat
- Host
- Rabbit
- Antibody clone number
- DGG-18
- Vial size
- 100ug/vial
- Concentration
- 0.5-1mg/ml, actual concentration vary by lot. Use suggested dilution ratio to decide dilution procedure.
- Storage
- At -20°C for one year. Avoid repeated freezing and thawing.
Submitted references Retarding the senescence of human vascular endothelial cells induced by hydrogen peroxide: effects of 17beta-estradiol (E2) mediated mitochondria protection.
Ruan Y, Wu S, Zhang L, Chen G, Lai W
Biogerontology 2014 Aug;15(4):367-75
Biogerontology 2014 Aug;15(4):367-75
No comments: Submit comment
Supportive validation
- Submitted by
- Boster Biological Technology (provider)
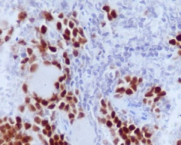
- Main image

- Experimental details
- Immunohistochemical analysis of paraffin-embedded mouse spleen, using Phospho-Rb (S807) Antibody (P00039-1)RB1 was detected in paraffin-embedded tissue section. Heat mediated antigen retrieval was performed in citrate buffer (pH6, epitope retrieval solution) for 20 mins. The tissue section was blocked with 10% goat serum. The tissue section was then incubated with 1ug/ml rabbit anti-RB1 Antibody (P00039-1)overnight at 4°C. Biotinylated goat anti-rabbit IgG was used as secondary antibody and incubated for 30 minutes at 37°C. The tissue section was developed using Strepavidin-Biotin-Complex (SABC)(Catalog # SA1022) with DAB as the chromogen.
- Additional image
