Antibody data
- Antibody Data
- Antigen structure
- References [0]
- Comments [0]
- Validations
- Western blot [1]
- Immunocytochemistry [3]
- Immunoprecipitation [3]
- Immunohistochemistry [2]
Submit
Validation data
Reference
Comment
Report error
- Product number
- LS-C393643 - Provider product page

- Provider
- LSBio
- Product name
- PCNA Antibody LS-C393643
- Antibody type
- Monoclonal
- Description
- Purified
- Reactivity
- Human, Mouse
- Host
- Mouse
- Storage
- Maintain refrigerated at 2°C to 8°C for up to 6 months. For long term storage store at -20°C.
No comments: Submit comment
Enhanced validation
- Submitted by
- LSBio (provider)
- Enhanced method
- Genetic validation
- Main image

- Experimental details
- Western blot detection of PCNA in HeLa, 3T3, COS7, C6 and CHO-K1 cell lysates using PCNA mouse monoclonal antibody (1:1000 dilution). Predicted band size: 36KDa. Observed band size:36KDa.
Supportive validation
- Submitted by
- LSBio (provider)
- Enhanced method
- Genetic validation
- Main image

- Experimental details
- Immunocytochemistry staining of HeLa cells using PCNA mouse monoclonal antibody (dilution 1:100).Fixed in 100% methanol for 2hr at -20°C .
- Submitted by
- LSBio (provider)
- Main image

- Experimental details
- Immunocytochemistry staining of HeLa cells using PCNA mouse monoclonal antibody (dilution 1:100).Fixed in 100% methanol for 2hr at -20°C .
- Submitted by
- LSBio (provider)
- Main image

- Experimental details
- Immunocytochemistry staining of HeLa cells using PCNA mouse monoclonal antibody (dilution 1:100).Fixed in 100% methanol for 2hr at -20°C .
Supportive validation
- Submitted by
- LSBio (provider)
- Enhanced method
- Genetic validation
- Main image

- Experimental details
- Immunoprecipitation analysis of HeLa cell lysates using PCNA mouse monoclonal antibody.
- Submitted by
- LSBio (provider)
- Main image

- Experimental details
- Immunoprecipitation analysis of HeLa cell lysates using PCNA mouse monoclonal antibody.
- Submitted by
- LSBio (provider)
- Main image

- Experimental details
- Immunoprecipitation analysis of HeLa cell lysates using PCNA mouse monoclonal antibody.
Enhanced validation
- Submitted by
- LSBio (provider)
- Enhanced method
- Genetic validation
- Main image

- Experimental details
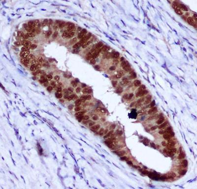
- Immunohistochemical analysis of paraffin-embedded human colorectal carcinoma with PCNA mouse monoclonal antibody (2E1-G10-H10, 1:400 diluted), showing nuclear localization.A high pressure mediated antigen retrieval step was performed in citrate buffer(pH 6.0).
- Submitted by
- LSBio (provider)
- Enhanced method
- Genetic validation
- Main image

- Experimental details
- Immunohistochemical analysis of paraffin-embedded human colorectal carcinoma with PCNA mouse monoclonal antibody (2E1-G10-H10, 1:400 diluted), showing nuclear localization.A high pressure mediated antigen retrieval step was performed in citrate buffer(pH 6.0).