Antibody data
- Antibody Data
- Antigen structure
- References [0]
- Comments [0]
- Validations
- Western blot [1]
- Immunohistochemistry [2]
- Other assay [1]
Submit
Validation data
Reference
Comment
Report error
- Product number
- 5111-MSM3-P1 - Provider product page

- Provider
- Invitrogen Antibodies
- Product name
- PCNA (Proliferating Cell Nuclear Antigen) (G1- and S-phase Marker) Monoclonal Antibody (PC5)
- Antibody type
- Monoclonal
- Antigen
- Other
- Reactivity
- Human, Mouse, Rat, Yeast
- Host
- Mouse
- Isotype
- IgG
- Antibody clone number
- PC5
- Vial size
- 100 µg
- Concentration
- 200 µg/mL
- Storage
- 4° C, do not freeze
No comments: Submit comment
Supportive validation
- Submitted by
- Invitrogen Antibodies (provider)
- Main image

- Experimental details
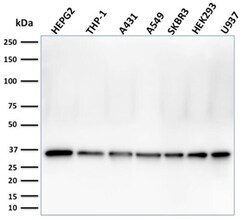
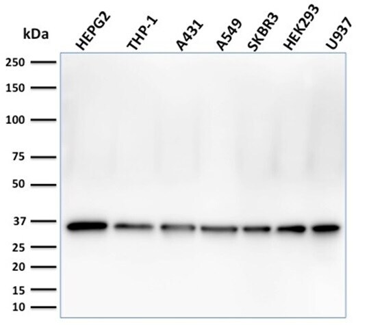
- Western blot analysis of HePG2, THP-1, A431, A549, SKBr3, HEK293 and U937 cell lines using PCNA Mouse Monoclonal Antibody (PC5).
Supportive validation
- Submitted by
- Invitrogen Antibodies (provider)
- Main image

- Experimental details
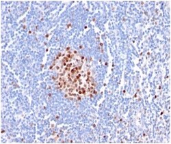
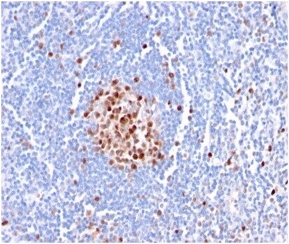
- Formalin-fixed, paraffin-embedded human tonsil stained with PCNA Mouse Monoclonal Antibody (PC5).
- Submitted by
- Invitrogen Antibodies (provider)
- Main image

- Experimental details
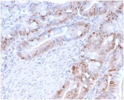
- Formalin-fixed, paraffin-embedded human colon carcinoma stained with PCNA Mouse Monoclonal Antibody (PC5).
Supportive validation
- Submitted by
- Invitrogen Antibodies (provider)
- Main image

- Experimental details
- SDS-PAGE analysis Purified PCNA Mouse Monoclonal Antibody (PC5). Confirmation of Purity and Integrity of Antibody.