Antibody data
- Antibody Data
- Antigen structure
- References [1]
- Comments [0]
- Validations
- Western blot [1]
- Immunohistochemistry [1]
Submit
Validation data
Reference
Comment
Report error
- Product number
- sc-12726 - Provider product page

- Provider
- Santa Cruz Biotechnology
- Proper citation
- Santa Cruz Biotechnology Cat#sc-12726, RRID:AB_667767
- Product name
- Anti-TFAP2A
- Antibody type
- Monoclonal
- Reactivity
- Human
- Host
- Mouse
Submitted references AP-2 regulates the transcription of estrogen receptor (ER)-β by acting through a methylation hotspot of the 0N promoter in prostate cancer cells
X Zhang, Y-K Leung, S-M Ho
Oncogene 2007 May;26(52):7346-7354
Oncogene 2007 May;26(52):7346-7354
No comments: Submit comment
Supportive validation
- Submitted by
- per
- Main image

- Experimental details
- Western blot analysis of antibody specificity using a routine panel composed of IgG/HSA-depleted human plasma and protein lysates from selected human tissues and cell lines.
- Validation comment
- Single band corresponding to the predicted size in kDa (+/-20%).
- Primary Ab dilution
- 1:500
- Secondary Ab dilution
- 1:7000
- Lane 1
- Marker [kDa]: 250, 130, 95, 72, 55, 36, 28, 17, 11
- Lane 2
- RT-4
- Lane 3
- U-251MG sp
- Lane 4
- Human Plasma
- Lane 5
- Liver
- Lane 6
- Tonsil
- Theoretical target weight
- [kDa] 47
Supportive validation
- Submitted by
- per
- Main image

- Experimental details
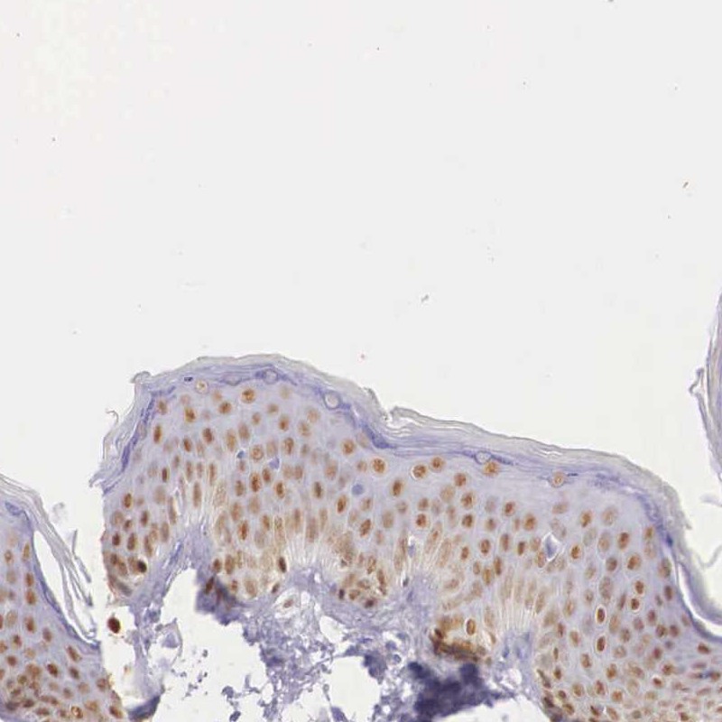
- Immunohistochemical staining of human skin shows moderate nuclear positivity in epidermal cells.
- Validation comment
- Staining pattern consistent with experimental and/or bioinformatic data.