Antibody data
- Antibody Data
- Antigen structure
- References [15]
- Comments [0]
- Validations
- Western blot [1]
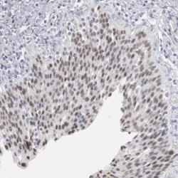
- Immunohistochemistry [1]
Submit
Validation data
Reference
Comment
Report error
- Product number
- sc-6554 - Provider product page

- Provider
- Santa Cruz Biotechnology
- Proper citation
- Santa Cruz Biotechnology Cat#sc-6554, RRID:AB_2262810
- Product name
- Anti-FOXA2
- Antibody type
- Polyclonal (Antigen purified)
- Antigen
- Synthetic peptide
- Reactivity
- Human
- Host
- Goat
Submitted references Interwoven four-compartment capillary membrane technology for three-dimensional perfusion with decentralized mass exchange to scale up embryonic stem cell culture.
Nitric oxide repression of Nanog promotes mouse embryonic stem cell differentiation
Dynamic 3D culture promotes spontaneous embryonic stem cell differentiation in vitro.
A quantitative model of transcriptional regulation reveals the influence of binding location on expression.
Differential binding and co-binding pattern of FOXA1 and FOXA3 and their relation to H3K4me3 in HepG2 cells revealed by ChIP-seq.
Molecular interactions between HNF4a, FOXA2 and GABP identified at regulatory DNA elements through ChIP-sequencing.
Growth hormone-activated STAT5 may indirectly stimulate IGF-I gene transcription through HNF-3{gamma}.
Wnt signaling mediates self-organization and axis formation in embryoid bodies.
Genome-wide relationship between histone H3 lysine 4 mono- and tri-methylation and transcription factor binding.
Dynamic regulation of Pdx1 enhancers by Foxa1 and Foxa2 is essential for pancreas development.
Expression of specific hepatocyte and cholangiocyte transcription factors in human liver disease and embryonic development.
Global analysis of in vivo Foxa2-binding sites in mouse adult liver using massively parallel sequencing.
Transcriptional regulation of the distal promoter of the rat pyruvate carboxylase gene by hepatocyte nuclear factor 3beta/Foxa2 and upstream stimulatory factors in insulinoma cells.
The locus control region activates serpin gene expression through recruitment of liver-specific transcription factors and RNA polymerase II.
In vivo analysis of growth hormone receptor signaling domains and their associated transcripts.
Gerlach JC, Lübberstedt M, Edsbagge J, Ring A, Hout M, Baun M, Rossberg I, Knöspel F, Peters G, Eckert K, Wulf-Goldenberg A, Björquist P, Stachelscheid H, Urbaniak T, Schatten G, Miki T, Schmelzer E, Zeilinger K
Cells, tissues, organs 2010;192(1):39-49
Cells, tissues, organs 2010;192(1):39-49
Nitric oxide repression of Nanog promotes mouse embryonic stem cell differentiation
S Mora-Castilla, J R Tejedo, A Hmadcha, G M Cahuana, F Martín, B Soria, F J Bedoya
Cell Death and Differentiation 2010 Jan;17(6):1025-1033
Cell Death and Differentiation 2010 Jan;17(6):1025-1033
Dynamic 3D culture promotes spontaneous embryonic stem cell differentiation in vitro.
Gerlach JC, Hout M, Edsbagge J, Björquist P, Lübberstedt M, Miki T, Stachelscheid H, Schmelzer E, Schatten G, Zeilinger K
Tissue engineering. Part C, Methods 2010 Feb;16(1):115-21
Tissue engineering. Part C, Methods 2010 Feb;16(1):115-21
A quantitative model of transcriptional regulation reveals the influence of binding location on expression.
MacIsaac KD, Lo KA, Gordon W, Motola S, Mazor T, Fraenkel E
PLoS computational biology 2010 Apr 29;6(4):e1000773
PLoS computational biology 2010 Apr 29;6(4):e1000773
Differential binding and co-binding pattern of FOXA1 and FOXA3 and their relation to H3K4me3 in HepG2 cells revealed by ChIP-seq.
Motallebipour M, Ameur A, Reddy Bysani MS, Patra K, Wallerman O, Mangion J, Barker MA, McKernan KJ, Komorowski J, Wadelius C
Genome biology 2009;10(11):R129
Genome biology 2009;10(11):R129
Molecular interactions between HNF4a, FOXA2 and GABP identified at regulatory DNA elements through ChIP-sequencing.
Wallerman O, Motallebipour M, Enroth S, Patra K, Bysani MS, Komorowski J, Wadelius C
Nucleic acids research 2009 Dec;37(22):7498-508
Nucleic acids research 2009 Dec;37(22):7498-508
Growth hormone-activated STAT5 may indirectly stimulate IGF-I gene transcription through HNF-3{gamma}.
Eleswarapu S, Ge X, Wang Y, Yu J, Jiang H
Molecular endocrinology (Baltimore, Md.) 2009 Dec;23(12):2026-37
Molecular endocrinology (Baltimore, Md.) 2009 Dec;23(12):2026-37
Wnt signaling mediates self-organization and axis formation in embryoid bodies.
ten Berge D, Koole W, Fuerer C, Fish M, Eroglu E, Nusse R
Cell stem cell 2008 Nov 6;3(5):508-18
Cell stem cell 2008 Nov 6;3(5):508-18
Genome-wide relationship between histone H3 lysine 4 mono- and tri-methylation and transcription factor binding.
Robertson AG, Bilenky M, Tam A, Zhao Y, Zeng T, Thiessen N, Cezard T, Fejes AP, Wederell ED, Cullum R, Euskirchen G, Krzywinski M, Birol I, Snyder M, Hoodless PA, Hirst M, Marra MA, Jones SJ
Genome research 2008 Dec;18(12):1906-17
Genome research 2008 Dec;18(12):1906-17
Dynamic regulation of Pdx1 enhancers by Foxa1 and Foxa2 is essential for pancreas development.
Gao N, LeLay J, Vatamaniuk MZ, Rieck S, Friedman JR, Kaestner KH
Genes & development 2008 Dec 15;22(24):3435-48
Genes & development 2008 Dec 15;22(24):3435-48
Expression of specific hepatocyte and cholangiocyte transcription factors in human liver disease and embryonic development.
Limaye PB, Alarcón G, Walls AL, Nalesnik MA, Michalopoulos GK, Demetris AJ, Ochoa ER
Laboratory investigation; a journal of technical methods and pathology 2008 Aug;88(8):865-72
Laboratory investigation; a journal of technical methods and pathology 2008 Aug;88(8):865-72
Global analysis of in vivo Foxa2-binding sites in mouse adult liver using massively parallel sequencing.
Wederell ED, Bilenky M, Cullum R, Thiessen N, Dagpinar M, Delaney A, Varhol R, Zhao Y, Zeng T, Bernier B, Ingham M, Hirst M, Robertson G, Marra MA, Jones S, Hoodless PA
Nucleic acids research 2008 Aug;36(14):4549-64
Nucleic acids research 2008 Aug;36(14):4549-64
Transcriptional regulation of the distal promoter of the rat pyruvate carboxylase gene by hepatocyte nuclear factor 3beta/Foxa2 and upstream stimulatory factors in insulinoma cells.
Boonsaen T, Rojvirat P, Surinya KH, Wallace JC, Jitrapakdee S
The Biochemical journal 2007 Jul 15;405(2):359-67
The Biochemical journal 2007 Jul 15;405(2):359-67
The locus control region activates serpin gene expression through recruitment of liver-specific transcription factors and RNA polymerase II.
Zhao H, Friedman RD, Fournier RE
Molecular and cellular biology 2007 Aug;27(15):5286-95
Molecular and cellular biology 2007 Aug;27(15):5286-95
In vivo analysis of growth hormone receptor signaling domains and their associated transcripts.
Rowland JE, Lichanska AM, Kerr LM, White M, d'Aniello EM, Maher SL, Brown R, Teasdale RD, Noakes PG, Waters MJ
Molecular and cellular biology 2005 Jan;25(1):66-77
Molecular and cellular biology 2005 Jan;25(1):66-77
No comments: Submit comment
Supportive validation
- Submitted by
- per
- Main image

- Experimental details
- Western blot analysis of antibody specificity using a routine panel composed of IgG/HSA-depleted human plasma and protein lysates from selected human tissues and cell lines.
- Validation comment
- Band of predicted size in kDa (+/-20%) with additional bands present.
- Primary Ab dilution
- 1:500
- Secondary Ab dilution
- 1:2000
- Lane 1
- Marker [kDa]: 250, 130, 95, 72, 55, 36, 28, 17, 11
- Lane 2
- RT-4
- Lane 3
- U-251MG sp
- Lane 4
- Human Plasma
- Lane 5
- Liver
- Lane 6
- Tonsil
- Theoretical target weight
- [kDa] 48
Supportive validation
- Submitted by
- per
- Main image

- Experimental details
- Immunohistochemical staining of human urinary bladder shows distinct nuclear positivity in urothelial cells.
- Validation comment
- Staining pattern consistent with experimental and/or bioinformatic data.