Antibody data
- Antibody Data
- Antigen structure
- References [0]
- Comments [0]
- Validations
- Western blot [1]
- Immunohistochemistry [2]
- Protein array [1]
Submit
Validation data
Reference
Comment
Report error
- Product number
- V3509 - Provider product page

- Provider
- NSJ Bioreagents
- Product name
- SOX-10 Antibody
- Antibody type
- Monoclonal
- Description
- This highly specific SOX-10 antibody is suitable for use in Western blot/Immunohistochemistry applications with human and mouse samples.
- Reactivity
- Human, Mouse
- Host
- Mouse
- Conjugate
- Unconjugated
- Antibody clone number
- SOX10/1074
- Vial size
- 20 ug (with BSA and sodium azide), 100 ug (with BSA and sodium azide), 100 ug (without BSA or sodium azide), 7 ml IHC only format (if applicable)
- Concentration
- 0.2 mg/ml, 1 mg/ml
- Storage
- Store the SOX-10 antibody at 2-8oC (with azide) or aliquot and store at -20oC or colder (without azide).
No comments: Submit comment
Supportive validation
- Submitted by
- NSJ Bioreagents (provider)
- Main image

- Experimental details
- Western blot testing of A) partial recombinant protein; B) A375 cell lysate using SOX-10 antibody (SOX10/1074). Predicted molecular weight ~50 kDa.
Supportive validation
- Submitted by
- NSJ Bioreagents (provider)
- Main image

- Experimental details
- IHC testing of FFPE human melanoma with SOX-10 antibody (clone SOX10/1074). Required HIER: boil tissue sections in 10mM citrate buffer, pH 6, for 10-20 min followed by cooling at RT for 20 min.
- Submitted by
- NSJ Bioreagents (provider)
- Main image

- Experimental details
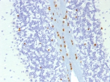
- IHC testing of FFPE mouse brain with SOX-10 antibody (clone SOX10/1074). Required HIER: boil tissue sections in 10mM citrate buffer, pH 6, for 10-20 min followed by cooling at RT for 20 min.
Supportive validation
- Submitted by
- NSJ Bioreagents (provider)
- Main image

- Experimental details
- Protein array validation of the SOX-10 antibody: Analysis of HuProt(TM) microarray containing more than 19,000 full-length human proteins using SOX-10 antibody (clone SOX10/1074). Z- and S- score: The Z-score represents the strength of a signal that an antibody (in combination with a fluorescently-tagged anti-IgG secondary Ab) produces when binding to a particular protein on the HuProt(TM) array. Z-scores are described in units of standard deviations (SD's) above the mean value of all signals generated on that array. If the targets on the HuProt(TM) are arranged in descending order of the Z-score, the S-score is the difference (also in units of SD's) between the Z-scores. The S-score therefore represents the relative target specificity of an Ab to its intended target.