Antibody data
- Antibody Data
- Antigen structure
- References [21]
- Comments [0]
- Validations
- Western blot [1]
- Immunohistochemistry [1]
Submit
Validation data
Reference
Comment
Report error
- Product number
- sc-7480 - Provider product page

- Provider
- Santa Cruz Biotechnology
- Proper citation
- Santa Cruz Biotechnology Cat#sc-7480, RRID:AB_626729
- Product name
- Anti-BAX
- Antibody type
- Monoclonal
- Antigen
- Recombinant full-length protein
- Reactivity
- Human
- Host
- Mouse
Submitted references The Differential Effect of Toxoplasma Gondii Infection on the Stability of BCL2-Family Members Involves Multiple Activities.
ShRNA-targeted centromere protein A inhibits hepatocellular carcinoma growth.
A human ribonuclease induces apoptosis associated with p21WAF1/CIP1 induction and JNK inactivation.
Guggulsterone targets smokeless tobacco induced PI3K/Akt pathway in head and neck cancer cells.
Anti-proliferative effect of LXR agonist T0901317 in ovarian carcinoma cells.
Downregulation of SPARC expression decreases gastric cancer cellular invasion and survival.
Inhibition of mTORC1 signaling reduces tumor growth but does not prevent cancer progression in a mouse model of thyroid cancer.
Combination treatment with resveratrol and sulforaphane induces apoptosis in human U251 glioma cells.
The conformation change of Bcl-2 is involved in arsenic trioxide-induced apoptosis and inhibition of proliferation in SGC7901 human gastric cancer cells.
Hydrogen peroxide-induced Akt phosphorylation regulates Bax activation.
Modulation of stress proteins and apoptotic regulators in the anoxia tolerant turtle brain.
Diallyl trisulfide selectively causes Bax- and Bak-mediated apoptosis in human lung cancer cells.
Disruption of Bax protein prevents neuronal cell death but produces cognitive impairment in mice following traumatic brain injury.
Recombinant human erythropoietin alpha modulates the effects of radiotherapy on colorectal cancer microvessels.
Antitumor activity and mechanisms of action of total glycosides from aerial part of Cimicifuga dahurica targeted against hepatoma.
Free fatty acids sensitise hepatocytes to TRAIL mediated cytotoxicity.
A multifunctional cytoprotective agent that reduces neurodegeneration after ischemia.
The BRG1- and hBRM-associated factor BAF57 induces apoptosis by stimulating expression of the cylindromatosis tumor suppressor gene.
Farnesyltransferase inhibitor R115777 (Zarnestra, Tipifarnib) synergizes with paclitaxel to induce apoptosis and mitotic arrest and to inhibit tumor growth of multiple myeloma cells.
The telomeric protein TRF2 binds the ATM kinase and can inhibit the ATM-dependent DNA damage response.
Adipose tissue cellularity and apoptosis after intracerebroventricular injections of leptin and 21 days of recovery in rats
Carmen JC, Sinai AP
Frontiers in microbiology 2011;2:1
Frontiers in microbiology 2011;2:1
ShRNA-targeted centromere protein A inhibits hepatocellular carcinoma growth.
Li Y, Zhu Z, Zhang S, Yu D, Yu H, Liu L, Cao X, Wang L, Gao H, Zhu M
PloS one 2011 Mar 15;6(3):e17794
PloS one 2011 Mar 15;6(3):e17794
A human ribonuclease induces apoptosis associated with p21WAF1/CIP1 induction and JNK inactivation.
Castro J, Ribó M, Navarro S, Nogués MV, Vilanova M, Benito A
BMC cancer 2011 Jan 11;11:9
BMC cancer 2011 Jan 11;11:9
Guggulsterone targets smokeless tobacco induced PI3K/Akt pathway in head and neck cancer cells.
Macha MA, Matta A, Chauhan SS, Siu KW, Ralhan R
PloS one 2011 Feb 24;6(2):e14728
PloS one 2011 Feb 24;6(2):e14728
Anti-proliferative effect of LXR agonist T0901317 in ovarian carcinoma cells.
Rough JJ, Monroy MA, Yerrum S, Daly JM
Journal of ovarian research 2010 May 26;3:13
Journal of ovarian research 2010 May 26;3:13
Downregulation of SPARC expression decreases gastric cancer cellular invasion and survival.
Yin J, Chen G, Liu Y, Liu S, Wang P, Wan Y, Wang X, Zhu J, Gao H
Journal of experimental & clinical cancer research : CR 2010 Jun 2;29:59
Journal of experimental & clinical cancer research : CR 2010 Jun 2;29:59
Inhibition of mTORC1 signaling reduces tumor growth but does not prevent cancer progression in a mouse model of thyroid cancer.
Guigon CJ, Fozzatti L, Lu C, Willingham MC, Cheng SY
Carcinogenesis 2010 Jul;31(7):1284-91
Carcinogenesis 2010 Jul;31(7):1284-91
Combination treatment with resveratrol and sulforaphane induces apoptosis in human U251 glioma cells.
Jiang H, Shang X, Wu H, Huang G, Wang Y, Al-Holou S, Gautam SC, Chopp M
Neurochemical research 2010 Jan;35(1):152-61
Neurochemical research 2010 Jan;35(1):152-61
The conformation change of Bcl-2 is involved in arsenic trioxide-induced apoptosis and inhibition of proliferation in SGC7901 human gastric cancer cells.
Zheng Y, Zhou M, Ye A, Li Q, Bai Y, Zhang Q
World journal of surgical oncology 2010 Apr 20;8:31
World journal of surgical oncology 2010 Apr 20;8:31
Hydrogen peroxide-induced Akt phosphorylation regulates Bax activation.
Sadidi M, Lentz SI, Feldman EL
Biochimie 2009 May;91(5):577-85
Biochimie 2009 May;91(5):577-85
Modulation of stress proteins and apoptotic regulators in the anoxia tolerant turtle brain.
Kesaraju S, Schmidt-Kastner R, Prentice HM, Milton SL
Journal of neurochemistry 2009 Jun;109(5):1413-26
Journal of neurochemistry 2009 Jun;109(5):1413-26
Diallyl trisulfide selectively causes Bax- and Bak-mediated apoptosis in human lung cancer cells.
Xiao D, Zeng Y, Hahm ER, Kim YA, Ramalingam S, Singh SV
Environmental and molecular mutagenesis 2009 Apr;50(3):201-12
Environmental and molecular mutagenesis 2009 Apr;50(3):201-12
Disruption of Bax protein prevents neuronal cell death but produces cognitive impairment in mice following traumatic brain injury.
Tehranian R, Rose ME, Vagni V, Pickrell AM, Griffith RP, Liu H, Clark RS, Dixon CE, Kochanek PM, Graham SH
Journal of neurotrauma 2008 Jul;25(7):755-67
Journal of neurotrauma 2008 Jul;25(7):755-67
Recombinant human erythropoietin alpha modulates the effects of radiotherapy on colorectal cancer microvessels.
Ceelen W, Boterberg T, Smeets P, Van Damme N, Demetter P, Zwaenepoel O, Cesteleyn L, Houtmeyers P, Peeters M, Pattyn P
British journal of cancer 2007 Mar 12;96(5):692-700
British journal of cancer 2007 Mar 12;96(5):692-700
Antitumor activity and mechanisms of action of total glycosides from aerial part of Cimicifuga dahurica targeted against hepatoma.
Tian Z, Si J, Chang Q, Zhou L, Chen S, Xiao P, Wu E
BMC cancer 2007 Dec 31;7:237
BMC cancer 2007 Dec 31;7:237
Free fatty acids sensitise hepatocytes to TRAIL mediated cytotoxicity.
Malhi H, Barreyro FJ, Isomoto H, Bronk SF, Gores GJ
Gut 2007 Aug;56(8):1124-31
Gut 2007 Aug;56(8):1124-31
A multifunctional cytoprotective agent that reduces neurodegeneration after ischemia.
Jiang ZG, Lu XC, Nelson V, Yang X, Pan W, Chen RW, Lebowitz MS, Almassian B, Tortella FC, Brady RO, Ghanbari HA
Proceedings of the National Academy of Sciences of the United States of America 2006 Jan 31;103(5):1581-6
Proceedings of the National Academy of Sciences of the United States of America 2006 Jan 31;103(5):1581-6
The BRG1- and hBRM-associated factor BAF57 induces apoptosis by stimulating expression of the cylindromatosis tumor suppressor gene.
Wang L, Baiocchi RA, Pal S, Mosialos G, Caligiuri M, Sif S
Molecular and cellular biology 2005 Sep;25(18):7953-65
Molecular and cellular biology 2005 Sep;25(18):7953-65
Farnesyltransferase inhibitor R115777 (Zarnestra, Tipifarnib) synergizes with paclitaxel to induce apoptosis and mitotic arrest and to inhibit tumor growth of multiple myeloma cells.
Zhu K, Gerbino E, Beaupre DM, Mackley PA, Muro-Cacho C, Beam C, Hamilton AD, Lichtenheld MG, Kerr WG, Dalton W, Alsina M, Sebti SM
Blood 2005 Jun 15;105(12):4759-66
Blood 2005 Jun 15;105(12):4759-66
The telomeric protein TRF2 binds the ATM kinase and can inhibit the ATM-dependent DNA damage response.
Karlseder J, Hoke K, Mirzoeva OK, Bakkenist C, Kastan MB, Petrini JH, de Lange T
PLoS biology 2004 Aug;2(8):E240
PLoS biology 2004 Aug;2(8):E240
Adipose tissue cellularity and apoptosis after intracerebroventricular injections of leptin and 21 days of recovery in rats
P S Gullicksen, D B Hausman, R G Dean, D L Hartzell, C A Baile
International Journal of Obesity 2003 Mar;27(3):302-312
International Journal of Obesity 2003 Mar;27(3):302-312
No comments: Submit comment
Supportive validation
- Submitted by
- per
- Main image

- Experimental details
- Western blot analysis of antibody specificity using a routine panel composed of IgG/HSA-depleted human plasma and protein lysates from selected human tissues and cell lines.
- Validation comment
- Band of predicted size in kDa (+/-20%) with additional bands present.
- Primary Ab dilution
- 1:500
- Secondary Ab dilution
- 1:7000
- Lane 1
- Marker [kDa]: 230, 110, 82, 49.3, 32.2, 25.5, 17.6
- Lane 2
- RT-4
- Lane 3
- U-251MG sp
- Lane 4
- Human Plasma
- Lane 5
- Liver
- Lane 6
- Tonsil
- Theoretical target weight
- [kDa] 16
Supportive validation
- Submitted by
- per
- Main image

- Experimental details
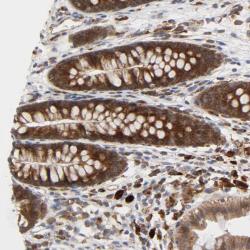
- Immunohistochemical staining of human colon shows strong cytoplasmic positivity in glandular cells.
- Validation comment
- Staining pattern partly consistent with experimental and/or bioinformatic data.