STJ25612
antibody from St John's Laboratory
Targeting: SMARCA4
BAF190, BRG1, FLJ39786, hSNF2b, SNF2, SNF2-BETA, SNF2L4, SNF2LB, SWI2
Antibody data
- Antibody Data
- Antigen structure
- References [0]
- Comments [0]
- Validations
- Western blot [1]
- Immunohistochemistry [3]
- Chromatin Immunoprecipitation [1]
Submit
Validation data
Reference
Comment
Report error
- Product number
- STJ25612 - Provider product page

- Provider
- St John's Laboratory
- Product name
- Anti-SMARCA4 antibody (30-130) (STJ25612)
- Antibody type
- Polyclonal
- Description
- Rabbit polyclonal antibody anti-SMARCA4 (30-130) is suitable for use in Western Blot, Immunohistochemistry, Immunofluorescence and Immunoprecipitation.
- Reactivity
- Human, Mouse, Rat
- Host
- Rabbit
- Conjugate
- Unconjugated
- Antigen sequence
NA- Epitope
- NA
- Isotype
- IgG
- Antibody clone number
- NA
- Vial size
- NA
- Concentration
- NA
- Storage
- Store in a freezer at-20°C and avoid freeze-thaw cycles.
- Handling
- NA
No comments: Submit comment
Supportive validation
- Submitted by
- St John's Laboratory (provider)
- Main image

- Experimental details
- Western blot analysis of extracts of 293T cells, using BRG1/BRG1/SMARCA4 antibody (STJ25612) at 1:1000 dilution. Secondary antibody: HRP Goat Anti-rabbit IgG (H+L) at 1:10000 dilution. Lysates/proteins: 25ug per lane. Blocking buffer: 3% nonfat dry milk in TBST. Detection: ECL Enhanced Kit. Exposure time: 1s.
- Sample type
- NA
- Validation comment
- NA
- Primary Ab dilution
- NA
- Other comments
- NA
- Secondary Ab
- NA
- Secondary Ab dilution
- NA
- Protocol
- NA
Supportive validation
Supportive validation
Supportive validation
- Submitted by
- St John's Laboratory (provider)
- Main image

- Experimental details
- Immunofluorescence analysis of A549 cells using BRG1/BRG1/SMARCA4 antibody (STJ25612). Blue: DAPI for nuclear staining.
- Sample type
- NA
- Validation comment
- NA
- Primary Ab dilution
- NA
- Other comments
- NA
- Secondary Ab
- NA
- Secondary Ab dilution
- NA
- Protocol
- NA
Supportive validation
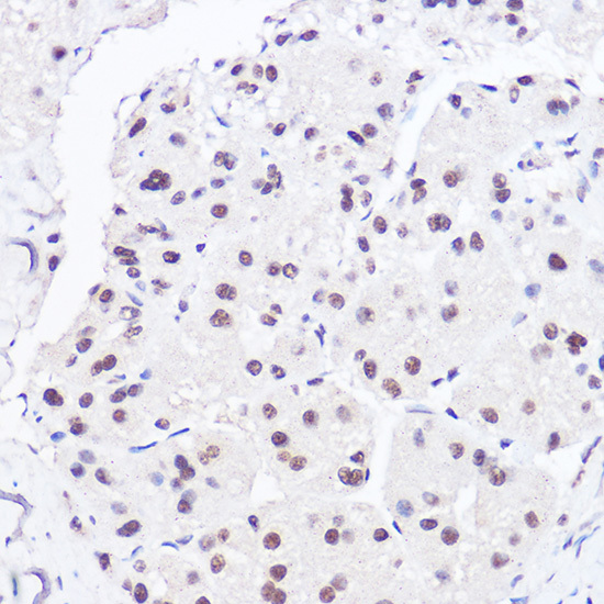
- Submitted by
- St John's Laboratory (provider)
- Main image

- Experimental details
- Immunohistochemistry of paraffin-embedded human liver cancer using [KO Validated] BRG1/BRG1/SMARCA4 rabbit polyclonal antibody (STJ25612) at dilution of 1:100 (40x lens).
- Sample type
- NA
- Validation comment
- NA
- Primary Ab dilution
- NA
- Other comments
- NA
- Secondary Ab
- NA
- Secondary Ab dilution
- NA
- Protocol
- NA
Supportive validation
- Submitted by
- St John's Laboratory (provider)
- Main image

- Experimental details
- Immunohistochemistry of paraffin-embedded mouse lung using [KO Validated] BRG1/BRG1/SMARCA4 rabbit polyclonal antibody (STJ25612) at dilution of 1:100 (40x lens).
- Sample type
- NA
- Validation comment
- NA
- Primary Ab dilution
- NA
- Other comments
- NA
- Secondary Ab
- NA
- Secondary Ab dilution
- NA
- Protocol
- NA
Supportive validation
- Submitted by
- St John's Laboratory (provider)
- Main image

- Experimental details
- Immunoprecipitation analysis of 300ug extracts of 293T cells using 3ug BRG1/BRG1/SMARCA4 antibody (STJ25612). Western blot was performed from the immunoprecipitate using BRG1/BRG1/SMARCA4 antibody (STJ25612) at a dilition of 1:1000.
- Sample type
- NA
- Validation comment
- NA
- Primary Ab dilution
- NA
- Other comments
- NA
- Secondary Ab
- NA
- Secondary Ab dilution
- NA
- Protocol
- NA