Antibody data
- Antibody Data
- Antigen structure
- References [8]
- Comments [0]
- Validations
- Western blot [4]
- Immunoprecipitation [1]
- Immunohistochemistry [2]
Submit
Validation data
Reference
Comment
Report error
- Product number
- GTX113094 - Provider product page

- Provider
- GeneTex
- Proper citation
- GeneTex Cat#GTX113094, RRID:AB_2036872
- Product name
- ERK2 antibody [N2C3]
- Antibody type
- Polyclonal
- Reactivity
- Human, Mouse, Rat, Porcine
- Host
- Rabbit
Submitted references Nano-Diamino-Tetrac (NDAT) Enhances Resveratrol-Induced Antiproliferation by Action on the RRM2 Pathway in Colorectal Cancers.
A high-throughput pipeline for validation of antibodies.
18β-glycyrrhetinic acid inhibits migration and invasion of human gastric cancer cells via the ROS/PKC-α/ERK pathway.
2,3,5,4'-Tetrahydroxystilbene-2-O-β-glucoside Isolated from Polygoni Multiflori Ameliorates the Development of Periodontitis.
Actions of l-thyroxine and Nano-diamino-tetrac (Nanotetrac) on PD-L1 in cancer cells.
Quercetin 3-O-methyl ether protects FL83B cells from copper induced oxidative stress through the PI3K/Akt and MAPK/Erk pathway.
The protective effects of spirulina in cyclophosphamide induced nephrotoxicity and urotoxicity in rats.
A study of the spatial protein organization of the postsynaptic density isolated from porcine cerebral cortex and cerebellum.
Nana AW, Wu SY, Yang YS, Chin YT, Cheng TM, Ho Y, Li WS, Liao YM, Chen YR, Shih YJ, Liu YR, Pedersen J, Incerpi S, Hercbergs A, Liu LF, Whang-Peng J, Davis PJ, Lin HY
Hormones & cancer 2018 Oct;9(5):349-360
Hormones & cancer 2018 Oct;9(5):349-360
A high-throughput pipeline for validation of antibodies.
Sikorski K, Mehta A, Inngjerdingen M, Thakor F, Kling S, Kalina T, Nyman TA, Stensland ME, Zhou W, de Souza GA, Holden L, Stuchly J, Templin M, Lund-Johansen F
Nature methods 2018 Nov;15(11):909-912
Nature methods 2018 Nov;15(11):909-912
18β-glycyrrhetinic acid inhibits migration and invasion of human gastric cancer cells via the ROS/PKC-α/ERK pathway.
Cai H, Chen X, Zhang J, Wang J
Journal of natural medicines 2018 Jan;72(1):252-259
Journal of natural medicines 2018 Jan;72(1):252-259
2,3,5,4'-Tetrahydroxystilbene-2-O-β-glucoside Isolated from Polygoni Multiflori Ameliorates the Development of Periodontitis.
Chin YT, Hsieh MT, Lin CY, Kuo PJ, Yang YC, Shih YJ, Lai HY, Cheng GY, Tang HY, Lee CC, Lee SY, Wang CC, Lin HY, Fu E, Whang-Peng J, Liu LF
Mediators of inflammation 2016;2016:6953459
Mediators of inflammation 2016;2016:6953459
Actions of l-thyroxine and Nano-diamino-tetrac (Nanotetrac) on PD-L1 in cancer cells.
Lin HY, Chin YT, Nana AW, Shih YJ, Lai HY, Tang HY, Leinung M, Mousa SA, Davis PJ
Steroids 2016 Oct;114:59-67
Steroids 2016 Oct;114:59-67
Quercetin 3-O-methyl ether protects FL83B cells from copper induced oxidative stress through the PI3K/Akt and MAPK/Erk pathway.
Tseng HL, Li CJ, Huang LH, Chen CY, Tsai CH, Lin CN, Hsu HY
Toxicology and applied pharmacology 2012 Oct 1;264(1):104-13
Toxicology and applied pharmacology 2012 Oct 1;264(1):104-13
The protective effects of spirulina in cyclophosphamide induced nephrotoxicity and urotoxicity in rats.
Sinanoglu O, Yener AN, Ekici S, Midi A, Aksungar FB
Urology 2012 Dec;80(6):1392.e1-6
Urology 2012 Dec;80(6):1392.e1-6
A study of the spatial protein organization of the postsynaptic density isolated from porcine cerebral cortex and cerebellum.
Yun-Hong Y, Chih-Fan C, Chia-Wei C, Yen-Chung C
Molecular & cellular proteomics : MCP 2011 Oct;10(10):M110.007138
Molecular & cellular proteomics : MCP 2011 Oct;10(10):M110.007138
No comments: Submit comment
Supportive validation
- Submitted by
- GeneTex (provider)
- Main image

- Experimental details
- Sample (30 ug of whole cell lysate) A: H1299 B: Hela 10% SDS PAGE GTX113094 diluted at 1:1000
- Submitted by
- GeneTex (provider)
- Main image

- Experimental details
- Sample (50 ug of whole cell lysate) A: mouse brain 10% SDS PAGE GTX113094 diluted at 1:5000
- Submitted by
- GeneTex (provider)
- Main image

- Experimental details
- Wild-type (WT) and ERK2 knockout (KO) HeLa cell extracts (30 ?g) were separated by 10% SDS-PAGE, and the membrane was blotted with ERK2 antibody [N2C3] (GTX113094) diluted at 1:1000. The HRP-conjugated anti-rabbit IgG antibody (GTX213110-01) was used to detect the primary antibody.
- Submitted by
- GeneTex (provider)
- Main image

- Experimental details
- Wild-type (WT) and ERK2 knockout (KO) HeLa cell extracts (30 ?g) were separated by 10% SDS-PAGE, and the membrane was blotted with ERK2 antibody [N2C3] (GTX113094) diluted at 1:1000. The HRP-conjugated anti-rabbit IgG antibody (GTX213110-01) was used to detect the primary antibody.
Supportive validation
- Submitted by
- GeneTex (provider)
- Main image

- Experimental details
- ERK2 antibody [N2C3] immunoprecipitates MAPK1 protein in IP experiments.IP samples: HeLa whole cell extractA. 30 £gg HeLa whole cell extractB. Control with 4 £gg of preimmune Rabbit IgGC. Immunoprecipitation of MAPK1 protein by 4 £gg ERK2 antibody [N2C3] (GTX113094)10 % SDS-PAGEThe immunoprecipitated MAPK1 protein was detected by ERK2 antibody [N2C3] (GTX113094) diluted at 1:500.[EasyBlot anti-rabbit IgG (GTX221666-01) was used as a secondary reagent]
Supportive validation
- Submitted by
- GeneTex (provider)
- Main image

- Experimental details
- ERK2 antibody [N2C3] detects ERK2 protein at cytosol and nucleus on human breast carcinoma by immunohistochemical analysis. Sample: Paraffin-embedded human breast carcinoma. ERK2 antibody [N2C3] (GTX113094) dilution: 1:500.
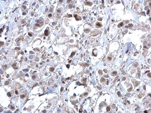
- Submitted by
- GeneTex (provider)
- Main image

- Experimental details
- ERK2 antibody [N2C3] detects ERK2 protein at cytosol and nucleus on human colon carcinoma by immunohistochemical analysis. Sample: Paraffin-embedded human colon carcinoma. ERK2 antibody [N2C3] (GTX113094) dilution: 1:500.