Antibody data
- Antibody Data
- Antigen structure
- References [19]
- Comments [0]
- Validations
- Western blot [1]
- Immunohistochemistry [1]
Submit
Validation data
Reference
Comment
Report error
- Product number
- sc-5274 - Provider product page

- Provider
- Santa Cruz Biotechnology
- Proper citation
- Santa Cruz Biotechnology Cat#sc-5274, RRID:AB_2288090
- Product name
- Anti-TUBB1
- Antibody type
- Monoclonal
- Antigen
- Recombinant full-length protein
- Reactivity
- Human
- Host
- Mouse
Submitted references Production of HIV particles is regulated by altering sub-cellular localization and dynamics of Rev induced by double-strand RNA binding protein.
Treponema denticola alters cell vitality and induces HO-1 and Hsp70 expression in porcine aortic endothelial cells.
Point mutations in c-Myc uncouple neoplastic transformation from multiple other phenotypes in rat fibroblasts.
Chemical enhancement of torsinA function in cell and animal models of torsion dystonia.
Frequent calcium oscillations lead to NFAT activation in human immature dendritic cells.
Protective effect of carbon monoxide pre-conditioning on LPS-induced endothelial cell stress.
The orphan nuclear receptor SHP inhibits apoptosis during the monocytic differentiation by inducing p21WAF1.
TRIP-Br2 promotes oncogenesis in nude mice and is frequently overexpressed in multiple human tumors.
Specific recruitment of protein kinase A to the immunoglobulin locus regulates class-switch recombination
Cyclin D1 repressor domain mediates proliferation and survival in prostate cancer.
Reduced cell death, invasive and angiogenic features conferred by BRCA1-deficiency in mammary epithelial cells transformed with H-Ras.
A PTP4A3 peptide PIMAP39 modulates TNF-alpha levels and endotoxic shock.
Translesion synthesis of 7,8-dihydro-8-oxo-2'-deoxyguanosine by DNA polymerase eta in vivo.
GADD45A does not promote DNA demethylation.
Reduced BRCA1 expression due to promoter hypermethylation in therapy-related acute myeloid leukaemia.
Diesel exhaust particles increase IL-1beta-induced human beta-defensin expression via NF-kappaB-mediated pathway in human lung epithelial cells.
mBet3p is required for homotypic COPII vesicle tethering in mammalian cells.
Combined proteomics and pathways analysis of collecting duct reveals a protein regulatory network activated in vasopressin escape.
Functional divergence of Kaposi's sarcoma-associated herpesvirus and related gamma-2 herpesvirus thymidine kinases: novel cytoplasmic phosphoproteins that alter cellular morphology and disrupt adhesion.
Urcuqui-Inchima S, Patiño C, Zapata X, García MP, Arteaga J, Chamot C, Kumar A, Hernandez-Verdun D
PloS one 2011 Feb 22;6(2):e16686
PloS one 2011 Feb 22;6(2):e16686
Treponema denticola alters cell vitality and induces HO-1 and Hsp70 expression in porcine aortic endothelial cells.
Bernardini C, Gaibani P, Zannoni A, Vocale C, Bacci ML, Piana G, Forni M, Sambri V
Cell stress & chaperones 2010 Sep;15(5):509-16
Cell stress & chaperones 2010 Sep;15(5):509-16
Point mutations in c-Myc uncouple neoplastic transformation from multiple other phenotypes in rat fibroblasts.
Graves JA, Rothermund K, Wang T, Qian W, Van Houten B, Prochownik EV
PloS one 2010 Oct 28;5(10):e13717
PloS one 2010 Oct 28;5(10):e13717
Chemical enhancement of torsinA function in cell and animal models of torsion dystonia.
Cao S, Hewett JW, Yokoi F, Lu J, Buckley AC, Burdette AJ, Chen P, Nery FC, Li Y, Breakefield XO, Caldwell GA, Caldwell KA
Disease models & mechanisms 2010 May-Jun;3(5-6):386-96
Disease models & mechanisms 2010 May-Jun;3(5-6):386-96
Frequent calcium oscillations lead to NFAT activation in human immature dendritic cells.
Vukcevic M, Zorzato F, Spagnoli G, Treves S
The Journal of biological chemistry 2010 May 21;285(21):16003-11
The Journal of biological chemistry 2010 May 21;285(21):16003-11
Protective effect of carbon monoxide pre-conditioning on LPS-induced endothelial cell stress.
Bernardini C, Zannoni A, Bacci ML, Forni M
Cell stress & chaperones 2010 Mar;15(2):219-24
Cell stress & chaperones 2010 Mar;15(2):219-24
The orphan nuclear receptor SHP inhibits apoptosis during the monocytic differentiation by inducing p21WAF1.
Kim K, Choi YH, Kim HH, Cheong J
Experimental & molecular medicine 2009 Jun 30;41(6):429-39
Experimental & molecular medicine 2009 Jun 30;41(6):429-39
TRIP-Br2 promotes oncogenesis in nude mice and is frequently overexpressed in multiple human tumors.
Cheong JK, Gunaratnam L, Zang ZJ, Yang CM, Sun X, Nasr SL, Sim KG, Peh BK, Rashid SB, Bonventre JV, Salto-Tellez M, Hsu SI
Journal of translational medicine 2009 Jan 20;7:8
Journal of translational medicine 2009 Jan 20;7:8
Specific recruitment of protein kinase A to the immunoglobulin locus regulates class-switch recombination
Bao Q Vuong, Mieun Lee, Shaheen Kabir, Cristina Irimia, Stephania Macchiarulo, G Stanley McKnight, Jayanta Chaudhuri
Nature Immunology 2009 Feb;10(4):420-426
Nature Immunology 2009 Feb;10(4):420-426
Cyclin D1 repressor domain mediates proliferation and survival in prostate cancer.
Schiewer MJ, Morey LM, Burd CJ, Liu Y, Merry DE, Ho SM, Knudsen KE
Oncogene 2009 Feb 19;28(7):1016-27
Oncogene 2009 Feb 19;28(7):1016-27
Reduced cell death, invasive and angiogenic features conferred by BRCA1-deficiency in mammary epithelial cells transformed with H-Ras.
Navaraj A, Finnberg N, Dicker DT, Yang W, Matthew EM, El-Deiry WS
Cancer biology & therapy 2009 Dec;8(24):2417-44
Cancer biology & therapy 2009 Dec;8(24):2417-44
A PTP4A3 peptide PIMAP39 modulates TNF-alpha levels and endotoxic shock.
Tang X, Woodward T, Amar S
Journal of innate immunity 2009 Dec;2(1):43-55
Journal of innate immunity 2009 Dec;2(1):43-55
Translesion synthesis of 7,8-dihydro-8-oxo-2'-deoxyguanosine by DNA polymerase eta in vivo.
Lee DH, Pfeifer GP
Mutation research 2008 May 10;641(1-2):19-26
Mutation research 2008 May 10;641(1-2):19-26
GADD45A does not promote DNA demethylation.
Jin SG, Guo C, Pfeifer GP
PLoS genetics 2008 Mar 7;4(3):e1000013
PLoS genetics 2008 Mar 7;4(3):e1000013
Reduced BRCA1 expression due to promoter hypermethylation in therapy-related acute myeloid leukaemia.
Scardocci A, Guidi F, D'Alo' F, Gumiero D, Fabiani E, Diruscio A, Martini M, Larocca LM, Zollino M, Hohaus S, Leone G, Voso MT
British journal of cancer 2006 Oct 23;95(8):1108-13
British journal of cancer 2006 Oct 23;95(8):1108-13
Diesel exhaust particles increase IL-1beta-induced human beta-defensin expression via NF-kappaB-mediated pathway in human lung epithelial cells.
Nam HY, Ahn EK, Kim HJ, Lim Y, Lee CB, Lee KY, Vallyathan V
Particle and fibre toxicology 2006 May 25;3:9
Particle and fibre toxicology 2006 May 25;3:9
mBet3p is required for homotypic COPII vesicle tethering in mammalian cells.
Yu S, Satoh A, Pypaert M, Mullen K, Hay JC, Ferro-Novick S
The Journal of cell biology 2006 Jul 31;174(3):359-68
The Journal of cell biology 2006 Jul 31;174(3):359-68
Combined proteomics and pathways analysis of collecting duct reveals a protein regulatory network activated in vasopressin escape.
Hoorn EJ, Hoffert JD, Knepper MA
Journal of the American Society of Nephrology : JASN 2005 Oct;16(10):2852-63
Journal of the American Society of Nephrology : JASN 2005 Oct;16(10):2852-63
Functional divergence of Kaposi's sarcoma-associated herpesvirus and related gamma-2 herpesvirus thymidine kinases: novel cytoplasmic phosphoproteins that alter cellular morphology and disrupt adhesion.
Gill MB, Murphy JE, Fingeroth JD
Journal of virology 2005 Dec;79(23):14647-59
Journal of virology 2005 Dec;79(23):14647-59
No comments: Submit comment
Supportive validation
- Submitted by
- per
- Main image

- Experimental details
- Western blot analysis of antibody specificity using a routine panel composed of IgG/HSA-depleted human plasma and protein lysates from selected human tissues and cell lines.
- Validation comment
- Single band corresponding to the predicted size in kDa (+/-20%).
- Primary Ab dilution
- 1:500
- Secondary Ab dilution
- 1:7000
- Lane 1
- Marker [kDa]: 230, 110, 82, 49.3, 32.2, 25.5, 17.6
- Lane 2
- RT-4
- Lane 3
- U-251MG sp
- Lane 4
- Human Plasma
- Lane 5
- Liver
- Lane 6
- Tonsil
- Theoretical target weight
- [kDa] 50
Supportive validation
- Submitted by
- per
- Main image

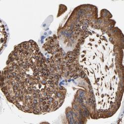
- Experimental details
- Immunohistochemical staining of human placenta shows strong cytoplasmic positivity in trophoblastic cells.
- Validation comment
- Staining pattern consistent with experimental and/or bioinformatic data.