Antibody data
- Antibody Data
- Antigen structure
- References [0]
- Comments [0]
- Validations
- Western blot [1]
- Immunohistochemistry [1]
Submit
Validation data
Reference
Comment
Report error
- Product number
- LS-C761164 - Provider product page
- Provider
- LSBio
- Product name
- C/EBP Alpha / CEBPA Antibody LS-C761164
- Antibody type
- Polyclonal
- Description
- Immunogen affinity purified
- Reactivity
- Human, Mouse, Rat, Bovine
- Host
- Rabbit
- Storage
- Upon delivery, aliquot and store at -20°C for 1 year. Avoid freeze/thaw cycles.
No comments: Submit comment
Enhanced validation
- Submitted by
- LSBio (provider)
- Enhanced method
- Genetic validation
- Main image
- Experimental details
- Western blot analysis of C/EBP alpha expression in mouse embryo (A), rat ovary (B), NIH3T3L1 (C), PC12 (D), Hela (E), Panc1 (F), SGC7901 (G) whole cell lysates.
Supportive validation
- Submitted by
- LSBio (provider)
- Main image
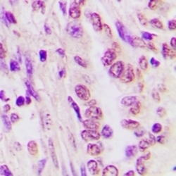
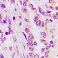
- Experimental details
- Immunohistochemical analysis of C/EBP alpha staining in human lung cancer formalin fixed paraffin embedded tissue section. The section was pre-treated using heat mediated antigen retrieval with sodium citrate buffer (pH 6.0). The section was then incubated with the antibody at room temperature and detected using an HRP conjugated compact polymer system. DAB was used as the chromogen. The section was then counterstained with haematoxylin and mounted with DPX.