Antibody data
- Antibody Data
- Antigen structure
- References [0]
- Comments [0]
- Validations
- Western blot [2]
- Immunohistochemistry [2]
Submit
Validation data
Reference
Comment
Report error
- Product number
- LS-C375210 - Provider product page

- Provider
- LSBio
- Product name
- ANXA7 / Annexin VII / SNX Antibody (aa259-488) LS-C375210
- Antibody type
- Polyclonal
- Description
- Immunoaffinity purified
- Reactivity
- Human, Mouse
- Host
- Rabbit
- Isotype
- IgG
- Storage
- Short term: -20°C; Long term: -80°C; Avoid freeze-thaw cycles.
No comments: Submit comment
Enhanced validation
- Submitted by
- LSBio (provider)
- Enhanced method
- Genetic validation
- Main image

- Experimental details
- Western blot. All lanes: Annexin A7 antibody at 4 ug/ml. Lane 1: mouse heart tissue. Lane 2: Jurkat whole cell lysate. Lane 3: LO2 whole cell lysate. secondary Goat polyclonal to rabbit at 1:10000 dilution. Predicted band size: 53 kDa. Observed band size: 53 kDa.
- Submitted by
- LSBio (provider)
- Enhanced method
- Genetic validation
- Main image

- Experimental details
- Western blot All lanes: ANXA7 antibody at 4µg/ml Lane 1: Jurkat whole cell lysate Lane 2: LO2 whole cell lysate Secondary Goat polyclonal to rabbit IgG at 1/10000 dilution Predicted band size: 53, 51 kDa Observed band size: 53 kDa
Supportive validation
- Submitted by
- LSBio (provider)
- Enhanced method
- Genetic validation
- Main image

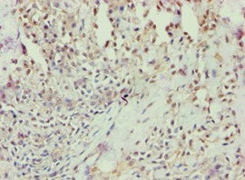
- Experimental details
- Immunohistochemistry of paraffin-embedded human breast cancer using antibody at 1:100 dilution.
- Submitted by
- LSBio (provider)
- Enhanced method
- Genetic validation
- Main image

- Experimental details
- Immunohistochemistry of paraffin-embedded human pancreas using antibody at 1:100 dilution.