Antibody data
- Antibody Data
- Antigen structure
- References [0]
- Comments [0]
- Validations
- Western blot [1]
- Immunohistochemistry [6]
Submit
Validation data
Reference
Comment
Report error
- Product number
- LS-C283 - Provider product page

- Provider
- LSBio
- Product name
- DFFB Antibody LS-C283
- Antibody type
- Polyclonal
- Description
- Peptide Column Affinity Chromatography
- Reactivity
- Mouse
- Host
- Rabbit
- Isotype
- IgG
- Storage
- Store at 4°C for up 3 months. Store at -20°C for up to 1 year. Avoid freeze/thaw cycles.
No comments: Submit comment
Enhanced validation
- Submitted by
- LSBio (provider)
- Enhanced method
- Genetic validation
- Main image

- Experimental details
- Western blot of CAD in murine lung (L) and kidney (K) tissue lysates with CAD antibody at 1:500 dilution.
Enhanced validation
- Submitted by
- LSBio (provider)
- Enhanced method
- Genetic validation
- Main image

- Experimental details
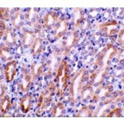
- Immunohistochemistry of CAD in mouse kidney tissue with CAD antibody at 5 µg/ml.
- Submitted by
- LSBio (provider)
- Enhanced method
- Genetic validation
- Main image

- Experimental details
- Immunohistochemistry of CAD in mouse kidney tissue with CAD antibody at 1 µg/mL.
- Submitted by
- LSBio (provider)
- Enhanced method
- Genetic validation
- Main image

- Experimental details
- Immunohistochemistry of CAD in mouse kidney tissue with CAD antibody at 5 µg/ml.
- Submitted by
- LSBio (provider)
- Enhanced method
- Genetic validation
- Main image

- Experimental details
- Immunohistochemistry of CAD in mouse kidney tissue with CAD antibody at 1 µg/mL.
- Submitted by
- LSBio (provider)
- Main image

- Experimental details
- Immunohistochemistry of CAD in mouse kidney tissue with CAD antibody at 5 µg/ml.
- Submitted by
- LSBio (provider)
- Main image

- Experimental details
- Immunohistochemistry of CAD in mouse kidney tissue with CAD antibody at 1 µg/mL.