Antibody data
- Antibody Data
- Antigen structure
- References [0]
- Comments [0]
- Validations
- Western blot [1]
- Immunocytochemistry [1]
- Immunohistochemistry [1]
Submit
Validation data
Reference
Comment
Report error
- Product number
- GTX31640 - Provider product page

- Provider
- GeneTex
- Product name
- DFFB antibody
- Antibody type
- Polyclonal
- Reactivity
- Mouse
- Host
- Rabbit
No comments: Submit comment
Supportive validation
- Submitted by
- GeneTex (provider)
- Main image

- Experimental details
- Western blot analysis of CAD in mouse lung (L) and kidney (K) tissue lysates with CAD antibody at 1:500 dilution.
Supportive validation
- Submitted by
- GeneTex (provider)
- Main image

- Experimental details
- Immunofluorescence of CAD in Mouse Kidney cells with CAD antibody at 10 μg/mL.
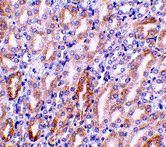
Supportive validation
- Submitted by
- GeneTex (provider)
- Main image

- Experimental details
- Immunohistochemistry of CAD in mouse kidney tissue with CAD antibody at 1 μg/mL.