Antibody data
- Antibody Data
- Antigen structure
- References [1]
- Comments [0]
- Validations
- Immunohistochemistry [1]
Submit
Validation data
Reference
Comment
Report error
- Product number
- LS-B1178 - Provider product page

- Provider
- LSBio
- Proper citation
- LifeSpan Cat#LS-B1178, RRID:AB_2243808
- Product name
- Anti-CAMK2A / CaMKII Alpha Antibody (Thr286) IHC-plus™ LS-B1178
- Antibody type
- Polyclonal
- Description
- Immunoaffinity purified
- Reactivity
- Human, Mouse, Rat
- Host
- Rabbit
- Isotype
- IgG
- Vial size
- 50µl
- Storage
- Short term 4°C, long term aliquot and store at -20°C, avoid freeze thaw cycles.
Submitted references Expression and distribution of Kv4 potassium channel subunits and potassium channel interacting proteins in subpopulations of interneurons in the basolateral amygdala.
Dabrowska J, Rainnie DG
Neuroscience 2010 Dec 15;171(3):721-33
Neuroscience 2010 Dec 15;171(3):721-33
No comments: Submit comment
Supportive validation
- Submitted by
- LSBio (provider)
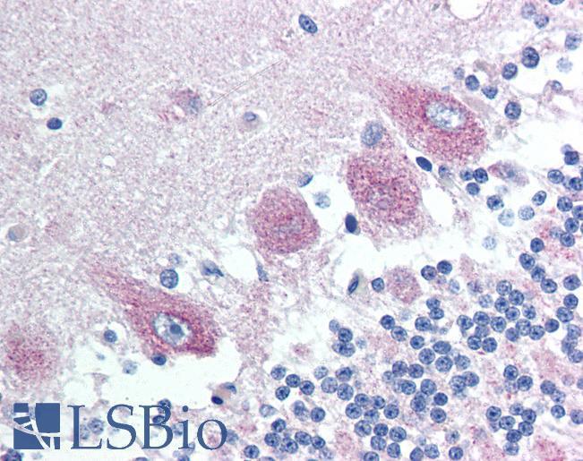
- Main image

- Experimental details
- Anti-CAMK2A antibody IHC of human brain, cerebellum. Immunohistochemistry of formalin-fixed, paraffin-embedded tissue after heat-induced antigen retrieval. Antibody LS-B1178 concentration 20 ug/ml.