Antibody data
- Antibody Data
- Antigen structure
- References [0]
- Comments [0]
- Validations
- Western blot [3]
- Immunohistochemistry [6]
- Flow cytometry [2]
Submit
Validation data
Reference
Comment
Report error
- Product number
- RQ5236 - Provider product page

- Provider
- NSJ Bioreagents
- Product name
- CDC42 Antibody
- Antibody type
- Polyclonal
- Description
- This highly specific CDC42 antibody is suitable for use in Western blot/Immunohistochemistry/Flow cytometry/Direct ELISA applications with human, mouse and rat samples.
- Reactivity
- Human, Mouse, Rat
- Host
- Rabbit
- Conjugate
- Unconjugated
- Vial size
- 100 ug
- Concentration
- 0.5mg/ml if reconstituted with 0.2ml sterile DI water
- Storage
- Store the CDC42 antibody at -20oC.
No comments: Submit comment
Supportive validation
- Submitted by
- NSJ Bioreagents (provider)
- Main image

- Experimental details
- Western blot testing of human 1) placenta, 2) U937, 3) HL60, 4) U-2 OS, 5) U-87 MG, 6) K562, 7) HeLa, 8) rat thymus, 9) rat lung, 10) mouse lung, 11) mouse intestine and 12) mouse SP2/0 lysate with CDC42 antibody. Predicted molecular weight ~21 kDa.
- Submitted by
- NSJ Bioreagents (provider)
- Main image

- Experimental details
- Western blot testing of human 1) U-87 MG, 2) K562 and 3) HeLa cell lysate with CDC42 antibody. Predicted molecular weight ~21 kDa.
- Submitted by
- NSJ Bioreagents (provider)
- Main image

- Experimental details
- Western blot testing of 1) rat thymus, 2) rat lung and 3) mouse SP20 lysate with CDC42 antibody. Predicted molecular weight ~21 kDa.
Supportive validation
- Submitted by
- NSJ Bioreagents (provider)
- Main image

- Experimental details
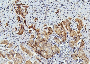
- IHC staining of FFPE human breast cancer with CDC42 antibody. HIER: boil tissue sections in pH8 EDTA for 20 min and allow to cool before testing.
- Submitted by
- NSJ Bioreagents (provider)
- Main image

- Experimental details
- IHC staining of FFPE human breast cancer with CDC42 antibody. HIER: boil tissue sections in pH6, 10mM citrate buffer, for 20 min and allow to cool before testing.
- Submitted by
- NSJ Bioreagents (provider)
- Main image

- Experimental details
- IHC staining of FFPE human colon cancer with CDC42 antibody. HIER: boil tissue sections in pH8 EDTA for 20 min and allow to cool before testing.
- Submitted by
- NSJ Bioreagents (provider)
- Main image

- Experimental details
- IHC staining of FFPE human colon cancer with CDC42 antibody. HIER: boil tissue sections in pH6, 10mM citrate buffer, for 20 min and allow to cool before testing.
- Submitted by
- NSJ Bioreagents (provider)
- Main image

- Experimental details
- IHC staining of FFPE mouse intestine with CDC42 antibody. HIER: boil tissue sections in pH8 EDTA for 20 min and allow to cool before testing.
- Submitted by
- NSJ Bioreagents (provider)
- Main image

- Experimental details
- IHC staining of FFPE rat intestine with CDC42 antibody. HIER: boil tissue sections in pH8 EDTA for 20 min and allow to cool before testing.
Supportive validation
- Submitted by
- NSJ Bioreagents (provider)
- Main image

- Experimental details
- Flow cytometry testing of human SiHa cells with CDC42 antibody at 1ug/million cells (blocked with goat sera); Red=cells alone, Green=isotype control, Blue= CDC42 antibody.
- Submitted by
- NSJ Bioreagents (provider)
- Main image

- Experimental details
- Flow cytometry testing of human U-2 OS cells with CDC42 antibody at 1ug/million cells (blocked with goat sera); Red=cells alone, Green=isotype control, Blue= CDC42 antibody.