A06019S186
antibody from Boster Biological Technology
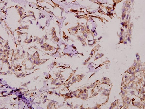
Targeting: DIDO1
BYE1, C20orf158, DATF1, DIO-1, DIO1, dJ885L7.8, FLJ11265, KIAA0333
Antibody data
- Antibody Data
- Antigen structure
- References [0]
- Comments [0]
- Validations
- Immunohistochemistry [1]
Submit
Validation data
Reference
Comment
Report error
- Product number
- A06019S186 - Provider product page

- Provider
- Boster Biological Technology
- Product name
- Anti-Dio-1 (S186) DIDO1 Antibody
- Antibody type
- Polyclonal
- Description
- Anti-Dio-1 (S186) DIDO1 Antibody validated for WB, IHC. Reactive to Human, Mouse, Rat.
- Reactivity
- Human, Mouse, Rat
- Host
- Rabbit
- Vial size
- 100ul
- Storage
- At -20°C for one year. At 4°C for one month. It can also be aliquoted and stored frozen at -20°C for a longer time. Avoid repeated freezing and thawing.
No comments: Submit comment
Supportive validation
- Submitted by
- Boster Biological Technology (provider)
- Main image

- Experimental details
- Immunohistochemistry validation of DIDO1 using Anti-Dio-1 (S186) DIDO1 Antibody (A06019S186). Immunohistochemistry (IHC) analyzes of Dio-1 (S186) pAb in paraffin-embedded human breast carcinoma tissue at 1:50. For more protocol information of IHC
- Additional image
