Antibody data
- Antibody Data
- Antigen structure
- References [2]
- Comments [0]
- Validations
- Western blot [1]
- Immunohistochemistry [1]
Submit
Validation data
Reference
Comment
Report error
- Product number
- sc-28366 - Provider product page

- Provider
- Santa Cruz Biotechnology
- Proper citation
- Santa Cruz Biotechnology Cat#sc-28366, RRID:AB_627521
- Product name
- Anti-RAPGEF3
- Antibody type
- Monoclonal
- Antigen
- Recombinant full-length protein
- Reactivity
- Human
- Host
- Mouse
Submitted references Epac1 mediates protein kinase A-independent mechanism of forskolin-activated intestinal chloride secretion.
Exchange protein activated by cAMP (Epac) mediates cAMP-dependent but protein kinase A-insensitive modulation of vascular ATP-sensitive potassium channels.
Hoque KM, Woodward OM, van Rossum DB, Zachos NC, Chen L, Leung GP, Guggino WB, Guggino SE, Tse CM
The Journal of general physiology 2010 Jan;135(1):43-58
The Journal of general physiology 2010 Jan;135(1):43-58
Exchange protein activated by cAMP (Epac) mediates cAMP-dependent but protein kinase A-insensitive modulation of vascular ATP-sensitive potassium channels.
Purves GI, Kamishima T, Davies LM, Quayle JM, Dart C
The Journal of physiology 2009 Jul 15;587(Pt 14):3639-50
The Journal of physiology 2009 Jul 15;587(Pt 14):3639-50
No comments: Submit comment
Supportive validation
- Submitted by
- per
- Main image

- Experimental details
- Western blot analysis of antibody specificity using a routine panel composed of IgG/HSA-depleted human plasma and protein lysates from selected human tissues and cell lines.
- Validation comment
- Single band differing more than +/-20% from predicted size in kDa and not supported by experimental and/or bioinformatic data.
- Primary Ab dilution
- 1:500
- Secondary Ab dilution
- 1:7000
- Lane 1
- Marker [kDa]: 230, 110, 82, 49.3, 32.2, 25.5, 17.6
- Lane 2
- RT-4
- Lane 3
- U-251MG sp
- Lane 4
- Human Plasma
- Lane 5
- Liver
- Lane 6
- Tonsil
- Theoretical target weight
- [kDa] 66
Supportive validation
- Submitted by
- per
- Main image

- Experimental details
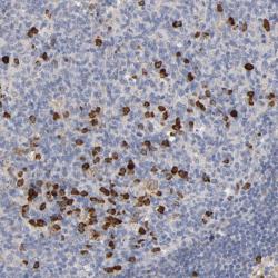
- Immunohistochemical staining of human lymph node shows strong cytoplasmic positivity in a subset of reaction center cells.
- Validation comment
- Staining pattern partly consistent with experimental and/or bioinformatic data.