Antibody data
- Antibody Data
- Antigen structure
- References [7]
- Comments [0]
- Validations
- Western blot [1]
- Immunohistochemistry [2]
Submit
Validation data
Reference
Comment
Report error
- Product number
- 12572-1-AP - Provider product page

- Provider
- Proteintech Group
- Proper citation
- Proteintech Cat#12572-1-AP, RRID:AB_11232407
- Product name
- EPAC1 antibody
- Antibody type
- Polyclonal
- Description
- EPAC1 antibody (Cat. #12572-1-AP) is a rabbit polyclonal antibody that shows reactivity with human and has been validated for the following applications: IF, IHC, WB,ELISA.
- Reactivity
- Human
- Host
- Rabbit
- Conjugate
- Unconjugated
- Isotype
- IgG
- Vial size
- 20ul, 150ul
Submitted references ESRP1 drives epithelial-mesenchymal transition by activating EPAC-RAP1A signaling axis.
QiShenYiQi dripping pills ameliorate post-myocardial infarction cardiac fibrosis via modulation of the cAMP/Rap1 and PI3K/Akt signaling pathways.
Selective antagonism of adenosine A2A receptor reduces hypobaric hypoxia-induced neuroinflammation by inhibiting cGAS-STING pathway.
Mechanistic study of the role of emodin in targeting and inhibiting the Rap1 signaling pathway to regulate epithelial-mesenchymal transition and reverse cisplatin resistance in hepatocellular carcinoma.
Manshenkang granules alleviate fibrosis in chronic renal failure rats by regulating the PDE4b/cAMP pathway.
Ginsenoside Ro prevents endothelial injury via promoting Epac1/AMPK- mediated mitochondria protection in early diabetic retinopathy.
Inhibition of DYRK1B BY C81 impedes inflammatory processes in leukocytes by reducing STAT3 activity.
Qi R, Wang J, Cheng G, Zhao T, Hu Z, Yu J, Jia Y, Chen J
Frontiers in medicine 2026;13:1734619
Frontiers in medicine 2026;13:1734619
QiShenYiQi dripping pills ameliorate post-myocardial infarction cardiac fibrosis via modulation of the cAMP/Rap1 and PI3K/Akt signaling pathways.
Liu Z, Chen S, Fu H, Li K, Liu H, Qin L, Wang L, Jin J, Yin L, Chen J
Fitoterapia 2026 Jan;188:107020
Fitoterapia 2026 Jan;188:107020
Selective antagonism of adenosine A2A receptor reduces hypobaric hypoxia-induced neuroinflammation by inhibiting cGAS-STING pathway.
Cheng H, Gao Y, Shang H, Han W, Zhang X, Gao R, Dang W, Ma Z, Liu X, Gao Y
Scientific reports 2026 Jan 5;16(1):1091
Scientific reports 2026 Jan 5;16(1):1091
Mechanistic study of the role of emodin in targeting and inhibiting the Rap1 signaling pathway to regulate epithelial-mesenchymal transition and reverse cisplatin resistance in hepatocellular carcinoma.
Zhang R, Jiao Y, Wang S, Wang L, Leng Y, Xiong Z, Yang M
Translational cancer research 2026 Feb 28;15(2):93
Translational cancer research 2026 Feb 28;15(2):93
Manshenkang granules alleviate fibrosis in chronic renal failure rats by regulating the PDE4b/cAMP pathway.
Yang YY, Gong NC, Peng YM, Yang ZS, Xiang DX
Journal of ethnopharmacology 2025 Mar 26;344:119506
Journal of ethnopharmacology 2025 Mar 26;344:119506
Ginsenoside Ro prevents endothelial injury via promoting Epac1/AMPK- mediated mitochondria protection in early diabetic retinopathy.
Liu J, Zhang Y, Xu X, Dong X, Pan Y, Sun X, Luo Y
Pharmacological research 2025 Jan;211:107562
Pharmacological research 2025 Jan;211:107562
Inhibition of DYRK1B BY C81 impedes inflammatory processes in leukocytes by reducing STAT3 activity.
Ciurus S, Elewa MAF, Palmer MA, Wolf A, Hector M, Fuhrmann DC, Thomas D, Gurke R, Schwalm MP, Berger L, Zech TJ, Burgers LD, Marschalek R, Geisslinger G, Knapp S, Langmann T, Bracher F, Weigert A, Fürst R
Cellular and molecular life sciences : CMLS 2025 Feb 22;82(1):85
Cellular and molecular life sciences : CMLS 2025 Feb 22;82(1):85
No comments: Submit comment
Supportive validation
- Submitted by
- Proteintech Group (provider)
- Main image

- Experimental details
- CHO cells were subjected to SDS PAGE followed by western blot with 12572-1-AP(RAPGEF3 antibody) at dilution of 1:1000
- Sample type
- cell line
Supportive validation
- Submitted by
- Proteintech Group (provider)
- Main image

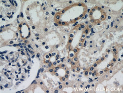
- Experimental details
- Immunohistochemical of paraffin-embedded human kidney using 12572-1-AP(RAPGEF3 antibody) at dilution of 1:50 (under 10x lens)
- Sample type
- tissue
- Submitted by
- Proteintech Group (provider)
- Main image

- Experimental details
- The EPAC1 antibody from Proteintech is a rabbit polyclonal antibody to a recombinant protein of human EPAC1. This antibody recognizes human,mouse,rat, hamster antigen. The EPAC1 antibody has been validated for the following applications: ELISA, WB, IHC analysis.