sc-28325
antibody from Santa Cruz Biotechnology
Targeting: CLIP1
CLIP, CLIP-170, CLIP170, CYLN1, RSN
Antibody data
- Antibody Data
- Antigen structure
- References [0]
- Comments [0]
- Validations
- Western blot [1]
- Immunohistochemistry [1]
Submit
Validation data
Reference
Comment
Report error
- Product number
- sc-28325 - Provider product page

- Provider
- Santa Cruz Biotechnology
- Proper citation
- Santa Cruz Biotechnology Cat#sc-28325, RRID:AB_671001
- Product name
- Anti-CLIP1
- Antibody type
- Monoclonal
- Antigen
- Recombinant full-length protein
- Reactivity
- Human
- Host
- Mouse
No comments: Submit comment
Supportive validation
- Submitted by
- per
- Main image

- Experimental details
- Western blot analysis of antibody specificity using a routine panel composed of IgG/HSA-depleted human plasma and protein lysates from selected human tissues and cell lines.
- Validation comment
- Single band corresponding to the predicted size in kDa (+/-20%).
- Primary Ab dilution
- 1:500
- Secondary Ab dilution
- 1:7000
- Lane 1
- Marker [kDa]: 229, 112, 83.5, 47.9, 32.3, 26.5, 17.2
- Lane 2
- U-251MG sp
- Lane 3
- Human Plasma
- Lane 4
- Liver
- Lane 5
- Tonsil
- Lane 6
- RT-4
- Theoretical target weight
- [kDa] 162
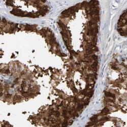
Supportive validation
- Submitted by
- per
- Main image

- Experimental details
- Immunohistochemical staining of human prostate shows strong cytoplasmic and nuclear positivity in glandular cells.
- Validation comment
- Staining pattern partly consistent with experimental and/or bioinformatic data.