Antibody data
- Antibody Data
- Antigen structure
- References [6]
- Comments [0]
- Validations
- Western blot [1]
- Immunohistochemistry [1]
Submit
Validation data
Reference
Comment
Report error
- Product number
- sc-6955 - Provider product page

- Provider
- Santa Cruz Biotechnology
- Proper citation
- Santa Cruz Biotechnology Cat#sc-6955, RRID:AB_670194
- Product name
- Anti-REL
- Antibody type
- Monoclonal
- Antigen
- Recombinant full-length protein
- Reactivity
- Human
- Host
- Mouse
Submitted references Peptidyl-prolyl isomerase Pin1 markedly enhances the oncogenic activity of the rel proteins in the nuclear factor-kappaB family.
CAPERalpha is a novel Rel-TAD-interacting factor that inhibits lymphocyte transformation by the potent Rel/NF-kappaB oncoprotein v-Rel.
Hypoxia induces protection against etoposide-induced apoptosis: molecular profiling of changes in gene expression and transcription factor activity.
NF-kappaB activation in inflammatory breast cancer is associated with oestrogen receptor downregulation, secondary to EGFR and/or ErbB2 overexpression and MAPK hyperactivation.
Lipopolysaccharide from Salmonella enterica activates NF-kappaB through both classical and alternative pathways in primary B Lymphocytes.
The c-Rel transcription factor can both induce and inhibit apoptosis in the same cells via the upregulation of MnSOD
Fan G, Fan Y, Gupta N, Matsuura I, Liu F, Zhou XZ, Lu KP, Gélinas C
Cancer research 2009 Jun 1;69(11):4589-97
Cancer research 2009 Jun 1;69(11):4589-97
CAPERalpha is a novel Rel-TAD-interacting factor that inhibits lymphocyte transformation by the potent Rel/NF-kappaB oncoprotein v-Rel.
Dutta J, Fan G, Gélinas C
Journal of virology 2008 Nov;82(21):10792-802
Journal of virology 2008 Nov;82(21):10792-802
Hypoxia induces protection against etoposide-induced apoptosis: molecular profiling of changes in gene expression and transcription factor activity.
Sermeus A, Cosse JP, Crespin M, Mainfroid V, de Longueville F, Ninane N, Raes M, Remacle J, Michiels C
Molecular cancer 2008 Mar 26;7:27
Molecular cancer 2008 Mar 26;7:27
NF-kappaB activation in inflammatory breast cancer is associated with oestrogen receptor downregulation, secondary to EGFR and/or ErbB2 overexpression and MAPK hyperactivation.
Van Laere SJ, Van der Auwera I, Van den Eynden GG, van Dam P, Van Marck EA, Vermeulen PB, Dirix LY
British journal of cancer 2007 Sep 3;97(5):659-69
British journal of cancer 2007 Sep 3;97(5):659-69
Lipopolysaccharide from Salmonella enterica activates NF-kappaB through both classical and alternative pathways in primary B Lymphocytes.
Souvannavong V, Saidji N, Chaby R
Infection and immunity 2007 Oct;75(10):4998-5003
Infection and immunity 2007 Oct;75(10):4998-5003
The c-Rel transcription factor can both induce and inhibit apoptosis in the same cells via the upregulation of MnSOD
David Bernard, Didier Monte, Bernard Vandenbunder, Corinne Abbadie
Oncogene 2002 Jun;21(28):4392-4402
Oncogene 2002 Jun;21(28):4392-4402
No comments: Submit comment
Supportive validation
- Submitted by
- per
- Main image

- Experimental details
- Western blot analysis of antibody specificity using a routine panel composed of IgG/HSA-depleted human plasma and protein lysates from selected human tissues and cell lines.
- Validation comment
- Single band differing more than +/-20% from predicted size in kDa and not supported by experimental and/or bioinformatic data.
- Primary Ab dilution
- 1:500
- Secondary Ab dilution
- 1:7000
- Lane 1
- Marker [kDa]: 230, 110, 82, 49.3, 32.2, 25.5, 17.6
- Lane 2
- RT-4
- Lane 3
- U-251MG sp
- Lane 4
- Human Plasma
- Lane 5
- Liver
- Lane 6
- Tonsil
- Theoretical target weight
- [kDa] 69
Supportive validation
- Submitted by
- per
- Main image

- Experimental details
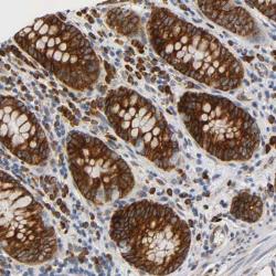
- Immunohistochemical staining of human colon shows strong cytoplasmic positivity in glandular cells.
- Validation comment
- Staining pattern partly consistent with experimental and/or bioinformatic data.