Antibody data
- Antibody Data
- Antigen structure
- References [3]
- Comments [0]
- Validations
- Western blot [1]
- Immunohistochemistry [1]
Submit
Validation data
Reference
Comment
Report error
- Product number
- sc-28333 - Provider product page

- Provider
- Santa Cruz Biotechnology
- Proper citation
- Santa Cruz Biotechnology Cat#sc-28333, RRID:AB_627744
- Product name
- Anti-HOXB13
- Antibody type
- Monoclonal
- Antigen
- Recombinant full-length protein
- Reactivity
- Human
- Host
- Mouse
Submitted references Predictive relevance of HOXB13 protein expression for tamoxifen benefit in breast cancer.
Unique molecular characteristics of pediatric myxopapillary ependymoma.
Epigenetic repression of the estrogen-regulated Homeobox B13 gene in breast cancer.
Jerevall PL, Jansson A, Fornander T, Skoog L, Nordenskjöld B, Stål O
Breast cancer research : BCR 2010;12(4):R53
Breast cancer research : BCR 2010;12(4):R53
Unique molecular characteristics of pediatric myxopapillary ependymoma.
Barton VN, Donson AM, Kleinschmidt-DeMasters BK, Birks DK, Handler MH, Foreman NK
Brain pathology (Zurich, Switzerland) 2010 May;20(3):560-70
Brain pathology (Zurich, Switzerland) 2010 May;20(3):560-70
Epigenetic repression of the estrogen-regulated Homeobox B13 gene in breast cancer.
Rodriguez BA, Cheng AS, Yan PS, Potter D, Agosto-Perez FJ, Shapiro CL, Huang TH
Carcinogenesis 2008 Jul;29(7):1459-65
Carcinogenesis 2008 Jul;29(7):1459-65
No comments: Submit comment
Supportive validation
- Submitted by
- per
- Main image

- Experimental details
- Western blot analysis of antibody specificity using a routine panel composed of IgG/HSA-depleted human plasma and protein lysates from selected human tissues and cell lines.
- Validation comment
- No bands detected.
- Primary Ab dilution
- 1:500
- Secondary Ab dilution
- 1:7000
- Lane 1
- Marker [kDa]: 220, 112, 84, 47, 32, 26, 16.8
- Lane 2
- RT-4
- Lane 3
- U-251MG sp
- Lane 4
- Human Plasma
- Lane 5
- Liver
- Lane 6
- Tonsil
- Theoretical target weight
- [kDa] 31
Supportive validation
- Submitted by
- per
- Main image

- Experimental details
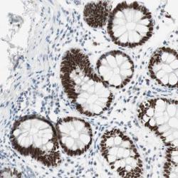
- Immunohistochemical staining of human rectum shows strong nuclear positivity in glandular cells.
- Validation comment
- Staining pattern consistent with experimental and/or bioinformatic data.