Antibody data
- Antibody Data
- Antigen structure
- References [1]
- Comments [0]
- Validations
- Immunohistochemistry [2]
Submit
Validation data
Reference
Comment
Report error
- Product number
- bs-2458R - Provider product page

- Provider
- Bioss
- Proper citation
- Bioss Cat#bs-2458R, RRID:AB_10853366
- Product name
- IL4R Polyclonal Antibody
- Antibody type
- Polyclonal
- Description
- KLH conjugated synthetic peptide derived from human IL4R
- Reactivity
- Human
- Host
- Rabbit
- Conjugate
- Unconjugated
- Isotype
- IgG
- Vial size
- 100ul
- Concentration
- 1ug/ul
- Storage
- Aqueous buffered solution containing 1% BSA, 50% glycerol and 0.09% sodium azide. Store at -20°C for 12 months.
Submitted references Anti-epileptic effects of neuropeptide Y gene transfection into the rat brain.
Dong C, Zhao W, Li W, Lv P, Dong X
Neural regeneration research 2013 May 15;8(14):1307-15
Neural regeneration research 2013 May 15;8(14):1307-15
No comments: Submit comment
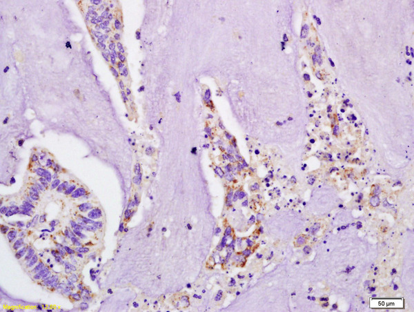
Supportive validation
- Submitted by
- Bioss (provider)
- Main image

- Experimental details
- Formalin-fixed and paraffin embedded human colon carcinoma labeled with Rabbit Anti IL-4R/CD124 Plastin Polyclonal Antibody, Unconjugated (bs-2458R) at 1:200 followed by conjugation to the secondary antibody and DAB staining
- Sample type
- Human
- Other comments
- Colon
- Submitted by
- Bioss (provider)
- Main image

- Experimental details
- Formalin-fixed and paraffin embedded human colon carcinoma labeled Anti-IL-4R/CD124 Polyclonal Antibody, Unconjugated (bs-2458R) at 1:200 followed by conjugation to the secondary antibody Goat Anti-Rabbit IgG, AF488 conjugated(bs-0295G-AF488)used at 1:200 dilution
- Sample type
- Human
- Other comments
- Colon