Antibody data
- Antibody Data
- Antigen structure
- References [3]
- Comments [0]
- Validations
- Western blot [1]
- Immunohistochemistry [1]
Submit
Validation data
Reference
Comment
Report error
- Product number
- sc-5288 - Provider product page

- Provider
- Santa Cruz Biotechnology
- Proper citation
- Santa Cruz Biotechnology Cat#sc-5288, RRID:AB_2249106
- Product name
- Anti-IRAK1
- Antibody type
- Monoclonal
- Antigen
- Recombinant full-length protein
- Reactivity
- Human
- Host
- Mouse
Submitted references IRAK1 and IRAK4 promote phosphorylation, ubiquitination, and degradation of MyD88 adaptor-like (Mal).
Cell surface-bound IL-1alpha is an upstream regulator of the senescence-associated IL-6/IL-8 cytokine network.
Pellino 3b negatively regulates interleukin-1-induced TAK1-dependent NF kappaB activation.
Dunne A, Carpenter S, Brikos C, Gray P, Strelow A, Wesche H, Morrice N, O'Neill LA
The Journal of biological chemistry 2010 Jun 11;285(24):18276-82
The Journal of biological chemistry 2010 Jun 11;285(24):18276-82
Cell surface-bound IL-1alpha is an upstream regulator of the senescence-associated IL-6/IL-8 cytokine network.
Orjalo AV, Bhaumik D, Gengler BK, Scott GK, Campisi J
Proceedings of the National Academy of Sciences of the United States of America 2009 Oct 6;106(40):17031-6
Proceedings of the National Academy of Sciences of the United States of America 2009 Oct 6;106(40):17031-6
Pellino 3b negatively regulates interleukin-1-induced TAK1-dependent NF kappaB activation.
Xiao H, Qian W, Staschke K, Qian Y, Cui G, Deng L, Ehsani M, Wang X, Qian YW, Chen ZJ, Gilmour R, Jiang Z, Li X
The Journal of biological chemistry 2008 May 23;283(21):14654-64
The Journal of biological chemistry 2008 May 23;283(21):14654-64
No comments: Submit comment
Supportive validation
- Submitted by
- per
- Main image

- Experimental details
- Western blot analysis of antibody specificity using a routine panel composed of IgG/HSA-depleted human plasma and protein lysates from selected human tissues and cell lines.
- Validation comment
- Band of predicted size in kDa (+/-20%) with additional bands present.
- Primary Ab dilution
- 1:500
- Secondary Ab dilution
- 1:7000
- Lane 1
- Marker [kDa]: 230, 110, 82, 49.3, 32.2, 25.5, 17.6
- Lane 2
- RT-4
- Lane 3
- U-251MG sp
- Lane 4
- Human Plasma
- Lane 5
- Liver
- Lane 6
- Tonsil
- Theoretical target weight
- [kDa] 75
Supportive validation
- Submitted by
- per
- Main image

- Experimental details
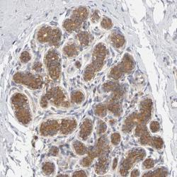
- Immunohistochemical staining of human breast shows strong cytoplasmic and membranous positivity in glandular cells.
- Validation comment
- Staining pattern consistent with experimental and/or bioinformatic data.