Antibody data
- Antibody Data
- Antigen structure
- References [5]
- Comments [0]
- Validations
- Western blot [1]
- Immunohistochemistry [1]
Submit
Validation data
Reference
Comment
Report error
- Product number
- sc-1648 - Provider product page

- Provider
- Santa Cruz Biotechnology
- Proper citation
- Santa Cruz Biotechnology Cat#sc-1648, RRID:AB_675868
- Product name
- Anti-MAPK8
- Antibody type
- Monoclonal
- Antigen
- Recombinant full-length protein
- Reactivity
- Human
- Host
- Mouse
Submitted references Adenovirus induction of IRF3 occurs through a binary trigger targeting Jun N-terminal kinase and TBK1 kinase cascades and type I interferon autocrine signaling.
Effect of gamma-synuclein silencing on apoptotic pathways in retinal ganglion cells.
c-Jun NH2-terminal kinase 1 plays a critical role in intestinal homeostasis and tumor suppression.
Author Index for Volume 95
British Journal of Cancer 2006 Dec;95(12):1710-1717
jkk-1 and mek-1 regulate body movement coordination and response to heavy metals through jnk-1 in Caenorhabditis elegans.
Nociari M, Ocheretina O, Murphy M, Falck-Pedersen E
Journal of virology 2009 May;83(9):4081-91
Journal of virology 2009 May;83(9):4081-91
Effect of gamma-synuclein silencing on apoptotic pathways in retinal ganglion cells.
Surgucheva I, Shestopalov VI, Surguchov A
The Journal of biological chemistry 2008 Dec 26;283(52):36377-85
The Journal of biological chemistry 2008 Dec 26;283(52):36377-85
c-Jun NH2-terminal kinase 1 plays a critical role in intestinal homeostasis and tumor suppression.
Tong C, Yin Z, Song Z, Dockendorff A, Huang C, Mariadason J, Flavell RA, Davis RJ, Augenlicht LH, Yang W
The American journal of pathology 2007 Jul;171(1):297-303
The American journal of pathology 2007 Jul;171(1):297-303
Author Index for Volume 95
British Journal of Cancer 2006 Dec;95(12):1710-1717
jkk-1 and mek-1 regulate body movement coordination and response to heavy metals through jnk-1 in Caenorhabditis elegans.
Villanueva A, Lozano J, Morales A, Lin X, Deng X, Hengartner MO, Kolesnick RN
The EMBO journal 2001 Sep 17;20(18):5114-28
The EMBO journal 2001 Sep 17;20(18):5114-28
No comments: Submit comment
Supportive validation
- Submitted by
- per
- Main image

- Experimental details
- Western blot analysis of antibody specificity using a routine panel composed of IgG/HSA-depleted human plasma and protein lysates from selected human tissues and cell lines.
- Validation comment
- Single band corresponding to the predicted size in kDa (+/-20%).
- Primary Ab dilution
- 1:500
- Secondary Ab dilution
- 1:7000
- Lane 1
- Marker [kDa]: 230, 110, 82, 49.3, 32.2, 25.5, 17.6
- Lane 2
- RT-4
- Lane 3
- U-251MG sp
- Lane 4
- Human Plasma
- Lane 5
- Liver
- Lane 6
- Tonsil
- Theoretical target weight
- [kDa] 25
Supportive validation
- Submitted by
- per
- Main image

- Experimental details
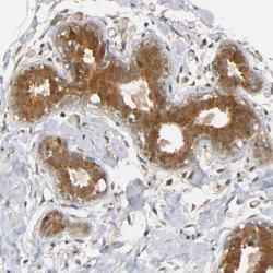
- Immunohistochemical staining of human breast shows strong cytoplasmic positivity in glandular cells.
- Validation comment
- Staining pattern consistent with experimental and/or bioinformatic data.