Antibody data
- Antibody Data
- Antigen structure
- References [0]
- Comments [0]
- Validations
- Western blot [1]
- Immunohistochemistry [3]
- Flow cytometry [1]
Submit
Validation data
Reference
Comment
Report error
- Product number
- NBP2-67514 - Provider product page

- Provider
- Novus Biologicals
- Product name
- Rabbit Monoclonal JNK1 Antibody
- Antibody type
- Monoclonal
- Description
- Protein A purified.
- Reactivity
- Human, Mouse, Rat
- Host
- Rabbit
- Isotype
- IgG
- Vial size
- 100 ul
- Storage
- Store at 4C short term. Aliquot and store at -20C long term. Avoid freeze-thaw cycles.
No comments: Submit comment
Supportive validation
- Submitted by
- Novus Biologicals (provider)
- Main image

- Experimental details
- Western Blot: JNK1 [p Thr183, p Thr221] Antibody (ST500) [NBP2-67514] - Analysis of Phospho-JNK1/2/3(T183+T183+T221) on different lysates using anti-Phospho-JNK1/2/3(T183+T183+T221) antibody at 1/1,000 dilution. Positive control: Lane 1: NIH/3T3 cell lysate, treated with Anisomycin Lane 2: NIH/3T3 cell lysate, untreated
Supportive validation
- Submitted by
- Novus Biologicals (provider)
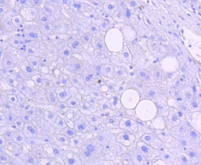
- Main image

- Experimental details
- Immunohistochemistry-Paraffin: JNK1 [p Thr183, p Thr221] Antibody (ST500) [NBP2-67514] - Analysis of paraffin-embedded human liver tissue using anti-Phospho-JNK1/2/3(T183+T183+T221) antibody. Counter stained with hematoxylin.
- Submitted by
- Novus Biologicals (provider)
- Main image

- Experimental details
- Immunohistochemistry-Paraffin: JNK1 [p Thr183, p Thr221] Antibody (ST500) [NBP2-67514] - Analysis of paraffin-embedded mouse heart tissue using anti-Phospho-JNK1/2/3(T183+T183+T221) antibody. Counter stained with hematoxylin.
- Submitted by
- Novus Biologicals (provider)
- Main image

- Experimental details
- Immunohistochemistry-Paraffin: JNK1 [p Thr183, p Thr221] Antibody (ST500) [NBP2-67514] - Analysis of paraffin-embedded human uterus tissue using anti-Phospho-JNK1/2/3(T183+T183+T221) antibody. Counter stained with hematoxylin.
Supportive validation
- Submitted by
- Novus Biologicals (provider)
- Main image

- Experimental details
- Flow Cytometry: JNK1 [p Thr183, p Thr221] Antibody (ST500) [NBP2-67514] - Analysis of Hela cells with Phospho-JNK1/2/3(T183+T183+T221) antibody at 1/50 dilution (blue) compared with an unlabelled control (cells without incubation with primary antibody; red). Alexa Fluor 488-conjugated goat anti rabbit IgG was used as the second