Antibody data
- Antibody Data
- Antigen structure
- References [2]
- Comments [0]
- Validations
- Western blot [1]
- Immunocytochemistry [1]
- Immunohistochemistry [1]
Submit
Validation data
Reference
Comment
Report error
- Product number
- PAB18396 - Provider product page

- Provider
- Abnova Corporation
- Proper citation
- Abnova Corporation Cat#PAB18396, RRID:AB_10715297
- Product name
- IL13RA1 polyclonal antibody
- Antibody type
- Polyclonal
- Description
- Rabbit polyclonal antibody raised against synthetic peptide of IL13RA1.
- Storage
- Store at -20°C.Aliquot to avoid repeated freezing and thawing.
Submitted references The adaptor protein shb binds to tyrosine 1175 in vascular endothelial growth factor (VEGF) receptor-2 and regulates VEGF-dependent cellular migration.
Identification of specific molecular structures of human immunodeficiency virus type 1 Tat relevant for its biological effects on vascular endothelial cells.
Holmqvist K, Cross MJ, Rolny C, Hägerkvist R, Rahimi N, Matsumoto T, Claesson-Welsh L, Welsh M
The Journal of biological chemistry 2004 May 21;279(21):22267-75
The Journal of biological chemistry 2004 May 21;279(21):22267-75
Identification of specific molecular structures of human immunodeficiency virus type 1 Tat relevant for its biological effects on vascular endothelial cells.
Mitola S, Soldi R, Zanon I, Barra L, Gutierrez MI, Berkhout B, Giacca M, Bussolino F
Journal of virology 2000 Jan;74(1):344-53
Journal of virology 2000 Jan;74(1):344-53
No comments: Submit comment
Supportive validation
- Submitted by
- Abnova Corporation (provider)
- Main image

- Experimental details
- Western blot analysis of extracts from COLO cells (Lane 1 and 5), HT-29 cells (Lane 2), A-549 cells (Lane 3) and 293 cells (Lane 4), using IL13RA1 polyclonal antibody (Cat # PAB18396).Peptide "+" means "peptide blocking".
Supportive validation
- Submitted by
- Abnova Corporation (provider)
- Main image

- Experimental details
- Immunofluorescence analysis of NIH/3T3 cells, using IL13RA1 polyclonal antibody (Cat # PAB18396).Peptide "+" means "peptide blocking".
- Validation comment
- Immunofluorescence
Supportive validation
- Submitted by
- Abnova Corporation (provider)
- Main image

- Experimental details
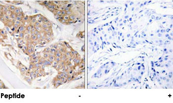
- Immunohistochemical analysis of paraffin-embedded human breast carcinoma tissue using IL13RA1 polyclonal antibody (Cat # PAB18396).Peptide "+" means "peptide blocking".
- Validation comment
- Immunohistochemistry (Formalin/PFA-fixed paraffin-embedded sections)