Antibody data
- Antibody Data
- Antigen structure
- References [2]
- Comments [0]
- Validations
- Immunohistochemistry [1]
Submit
Validation data
Reference
Comment
Report error
- Product number
- sc-13131 - Provider product page

- Provider
- Santa Cruz Biotechnology
- Proper citation
- Santa Cruz Biotechnology Cat#sc-13131, RRID:AB_626990
- Product name
- Anti-ABCB4
- Antibody type
- Monoclonal
- Antigen
- Recombinant full-length protein
- Reactivity
- Human
- Host
- Mouse
Submitted references Global methylation pattern of genes in androgen-sensitive and androgen-independent prostate cancer cells.
Anti-Cripto Mab inhibit tumour growth and overcome MDR in a human leukaemia MDR cell line by inhibition of Akt and activation of JNK/SAPK and bad death pathways.
Mishra DK, Chen Z, Wu Y, Sarkissyan M, Koeffler HP, Vadgama JV
Molecular cancer therapeutics 2010 Jan;9(1):33-45
Molecular cancer therapeutics 2010 Jan;9(1):33-45
Anti-Cripto Mab inhibit tumour growth and overcome MDR in a human leukaemia MDR cell line by inhibition of Akt and activation of JNK/SAPK and bad death pathways.
Hu XF, Li J, Yang E, Vandervalk S, Xing PX
British journal of cancer 2007 Mar 26;96(6):918-27
British journal of cancer 2007 Mar 26;96(6):918-27
No comments: Submit comment
Supportive validation
- Submitted by
- per
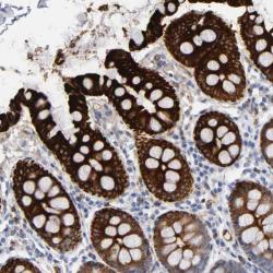
- Main image

- Experimental details
- Immunohistochemical staining of human colon shows strong cytoplasmic positivity in glandular cells.
- Validation comment
- Staining pattern consistent with experimental and/or bioinformatic data.