Antibody data
- Antibody Data
- Antigen structure
- References [0]
- Comments [0]
- Validations
- Western blot [1]
- Immunohistochemistry [3]
Submit
Validation data
Reference
Comment
Report error
- Product number
- bs-3268R - Provider product page

- Provider
- Bioss
- Proper citation
- Bioss Cat#bs-3268R, RRID:AB_10853522
- Product name
- MEF2A (Ser408) Polyclonal Antibody
- Antibody type
- Polyclonal
- Description
- KLH conjugated synthetic phosphopeptide derived from human MEF2A around the phosphorylation site of Ser408
- Reactivity
- Human, Mouse, Rat
- Host
- Rabbit
- Conjugate
- Unconjugated
- Isotype
- IgG
- Vial size
- 100ul
- Concentration
- 1ug/ul
- Storage
- Aqueous buffered solution containing 1% BSA, 50% glycerol and 0.09% sodium azide. Store at -20°C for 12 months.
No comments: Submit comment
Supportive validation
- Submitted by
- Bioss (provider)
- Main image

- Experimental details
- L1 mouse brain lysates L2 mouse embryo lysates probed with Anti Phospho-MEF2A (Ser408) Polyclonal Antibody, Unconjugated (bs-3268R) at 1:200 overnight at 4°C. Followed by conjugation to secondary antibody (bs-0295G-HRP) at 1:3000 for 90 min at 37°C. Predicted band 54kD. Observed band size:54kD.
- Sample type
- Mouse
- Other comments
- Brain
Supportive validation
- Submitted by
- Bioss (provider)
- Main image

- Experimental details
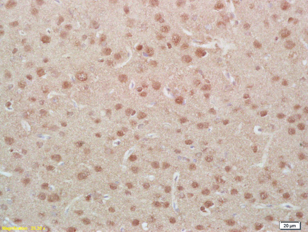
- Formalin-fixed and paraffin embedded rat brain labeled with Anti-Phospho-MEF2A (Ser408)Polyclonal Antibody, Unconjugated (bs-3268R) at 1:200, followed by conjugation to the secondary antibody and DAB staining
- Sample type
- Rat
- Other comments
- Brain
- Submitted by
- Bioss (provider)
- Main image

- Experimental details
- Formalin-fixed and paraffin embedded human cervical carcinoma labeled with Anti-Phospho-MEF2A (Ser408)Polyclonal Antibody, Unconjugated (bs-3268R) at 1:200, followed by conjugation to the secondary antibody and DAB staining
- Sample type
- Human
- Other comments
- Cervix
- Submitted by
- Bioss (provider)
- Main image

- Experimental details
- Formalin-fixed and paraffin-embedded rat brain labeled with Anti-Phospho-MEF2A (Ser408)Polyclonal Antibody, Unconjugated(bs-3268R) 1:200, overnight at 4°C, The secondary antibody was Goat Anti-Rabbit IgG, Cy3 conjugated(bs-0295G-Cy3)used at 1:200 dilution for 40 minutes at 37°C.
- Sample type
- Rat
- Other comments
- Brain