Antibody data
- Antibody Data
- Antigen structure
- References [0]
- Comments [0]
- Validations
- ELISA [1]
- Immunohistochemistry [1]
Submit
Validation data
Reference
Comment
Report error
- Product number
- BS-3268R - Provider product page

- Provider
- Invitrogen Antibodies
- Product name
- Phospho-MEF2A (Ser408) Polyclonal Antibody
- Antibody type
- Polyclonal
- Antigen
- Synthetic peptide
- Reactivity
- Human, Mouse, Rat
- Host
- Rabbit
- Isotype
- IgG
- Vial size
- 100 µL
- Concentration
- 1 mg/mL
- Storage
- -20°C
No comments: Submit comment
Supportive validation
- Submitted by
- Invitrogen Antibodies (provider)
- Main image

- Experimental details
- Antigen: bs-3268P, 0.2ug/100ul Primary: Antiserum, 1:500, 1:1000, 1:2000, 1:4000, 1:8000, 1:16000, 1:32000; Secondary: HRP conjugated Goat-Anti-Rabbit IgG(bs-0295G-HRP) at 1:5000; TMB staining; Read the data in Microplate Reader by 450nm.
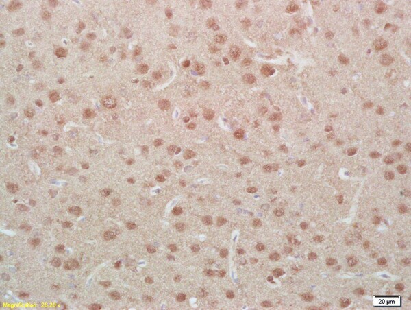
Supportive validation
- Submitted by
- Invitrogen Antibodies (provider)
- Main image

- Experimental details
- Formalin-fixed and paraffin embedded rat brain labeled with Anti-Phospho-MEF2A (Ser408)Polyclonal Antibody, Unconjugated (bs-3268R) at 1:200, followed by conjugation to the secondary antibody and DAB staining.