Antibody data
- Antibody Data
- Antigen structure
- References [0]
- Comments [0]
- Validations
- Western blot [3]
- Immunocytochemistry [2]
- Immunohistochemistry [2]
Submit
Validation data
Reference
Comment
Report error
- Product number
- 60067-1-IG - Provider product page

- Provider
- Invitrogen Antibodies
- Product name
- Neuropilin 1 Monoclonal Antibody (2H3F6)
- Antibody type
- Monoclonal
- Antigen
- Other
- Reactivity
- Human, Porcine
- Host
- Mouse
- Isotype
- IgG
- Antibody clone number
- 2H3F6
- Vial size
- 150 µL
- Concentration
- 1 mg/mL
- Storage
- -20°C
No comments: Submit comment
Supportive validation
- Submitted by
- Invitrogen Antibodies (provider)
- Main image

- Experimental details
- Human blood tissue were subjected to SDS PAGE followed by western blot with 60067-1-Ig (Neuropilin 1 antibody) at dilution of 1:500 incubated at room temperature for 1.5 hours.
- Submitted by
- Invitrogen Antibodies (provider)
- Main image

- Experimental details
- Fetal human brain tissue were subjected to SDS PAGE followed by western blot with 60067-1-Ig (Neuropilin 1 antibody at dilution of 1:1000 incubated at room temperature for 1.5 hours.
- Submitted by
- Invitrogen Antibodies (provider)
- Main image

- Experimental details
- Pig brain tissue were subjected to SDS PAGE followed by western blot with 60067-1-Ig (Neuropilin 1 antibody at dilution of 1:1000 incubated at room temperature for 1.5 hours.
Supportive validation
- Submitted by
- Invitrogen Antibodies (provider)
- Main image

- Experimental details
- Confocal immunofluorescent analysis of human embronic stem cells with 60067-1-IG at dilution of 1:100. DAPI was used to stain the cell nuclei (blue) at a concentration of 1 µg/mL. This photo is the merge of PE and DAPI. (40X).
- Submitted by
- Invitrogen Antibodies (provider)
- Main image

- Experimental details
- Immunofluorescent analysis of ( -20°C Ethanol ) fixed SH-SY5Y cells using 60067-1-IG (Neuropilin 1 antibody) at dilution of 1:100 and Alexa Fluor 488-conjugated AffiniPure Goat Anti-Mouse IGG (H+L).
Supportive validation
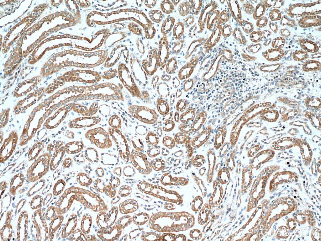
- Submitted by
- Invitrogen Antibodies (provider)
- Main image

- Experimental details
- Immunohistochemistry of paraffin-embedded human kidney tissue slide using 60067-1-IG ( Neuropilin 1 antibody at dilution of 1:200 (under 10x lens).
- Submitted by
- Invitrogen Antibodies (provider)
- Main image

- Experimental details
- Immunohistochemistry of paraffin-embedded human kidney tissue slide using 60067-1-IG ( Neuropilin 1 antibody at dilution of 1:200 (under 40x lens).