Antibody data
- Antibody Data
- Antigen structure
- References [0]
- Comments [0]
- Validations
- Immunohistochemistry [10]
Submit
Validation data
Reference
Comment
Report error
- Product number
- PA5-53320 - Provider product page

- Provider
- Invitrogen Antibodies
- Product name
- MORC4 Polyclonal Antibody
- Antibody type
- Polyclonal
- Antigen
- Recombinant protein fragment
- Description
- Immunogen sequence: SPSLQLKPLD SSVLQFSSKY KWILGEEPVE KRRRLQNEMT TPSLDYSMPA PYRRVEAPVA YPEGENSHDK SSSERSTPPY LFPEYPEASK NTGQNREVSI LYPGAKDQRQ GSLLPEELED Q Highest antigen sequence identity to the following orthologs: Mouse - 66%, Rat - 64%.
- Reactivity
- Human
- Host
- Rabbit
- Isotype
- IgG
- Vial size
- 100 μL
- Concentration
- 0.2 mg/mL
- Storage
- Store at 4°C short term. For long term storage, store at -20°C, avoiding freeze/thaw cycles.
No comments: Submit comment
Supportive validation
- Submitted by
- Invitrogen Antibodies (provider)
- Main image

- Experimental details
- Immunohistochemical staining of MORC4 in human cerebral cortex using MORC4 Polyclonal Antibody (Product # PA5-53320).
- Submitted by
- Invitrogen Antibodies (provider)
- Main image

- Experimental details
- Immunohistochemical staining of MORC4 in human placenta using MORC4 Polyclonal Antibody (Product # PA5-53320).
- Submitted by
- Invitrogen Antibodies (provider)
- Main image

- Experimental details
- Immunohistochemical analysis of MORC4 in human placenta using MORC4 Polyclonal Antibody (Product # PA5-53320) shows moderate nuclear positivity in trophoblastic cells.
- Submitted by
- Invitrogen Antibodies (provider)
- Main image

- Experimental details
- Immunohistochemical staining of MORC4 in human testis and pancreas tissues using MORC4 Polyclonal Antibody (Product # PA5-53320). Corresponding MORC4 RNA-seq data are presented for the same tissues.
- Submitted by
- Invitrogen Antibodies (provider)
- Main image

- Experimental details
- Immunohistochemical staining of MORC4 in human cerebral cortex, colon, placenta and testis using MORC4 Polyclonal Antibody (Product # PA5-53320) (A) shows similar protein distribution across tissues to an independent MORC4 Polyclonal Antibody (B).
- Submitted by
- Invitrogen Antibodies (provider)
- Main image

- Experimental details
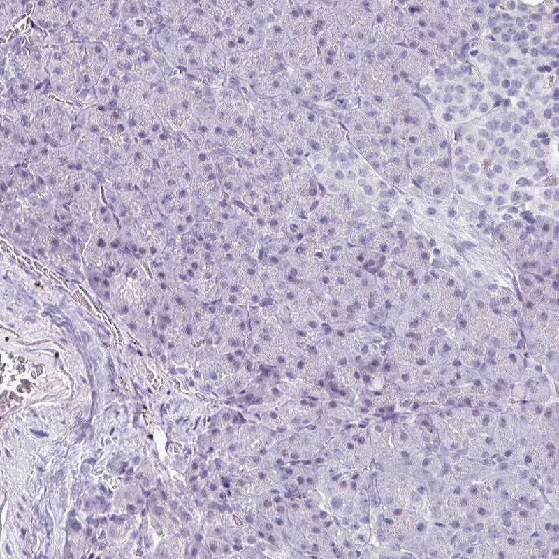
- Immunohistochemical staining of MORC4 in human pancreas using MORC4 Polyclonal Antibody (Product # PA5-53320) shows low expression as expected.
- Submitted by
- Invitrogen Antibodies (provider)
- Main image

- Experimental details
- Immunohistochemical staining of MORC4 in human placenta using MORC4 Polyclonal Antibody (Product # PA5-53320).
- Submitted by
- Invitrogen Antibodies (provider)
- Main image

- Experimental details
- Immunohistochemical analysis of MORC4 in human placenta using MORC4 Polyclonal Antibody (Product # PA5-53320) shows moderate nuclear positivity in trophoblastic cells.
- Submitted by
- Invitrogen Antibodies (provider)
- Main image

- Experimental details
- Immunohistochemical staining of MORC4 in human testis and pancreas tissues using MORC4 Polyclonal Antibody (Product # PA5-53320). Corresponding MORC4 RNA-seq data are presented for the same tissues.
- Submitted by
- Invitrogen Antibodies (provider)
- Main image

- Experimental details
- Immunohistochemical staining of MORC4 in human cerebral cortex using MORC4 Polyclonal Antibody (Product # PA5-53320).