Antibody data
- Antibody Data
 - Antigen structure
 - References [0]
 - Comments [0]
 - Validations
 - Western blot [1]
 - Immunohistochemistry [2]
 
Submit
Validation data
Reference
Comment
Report error
- Product number
 - LS-C164842 - Provider product page

 - Provider
 - LSBio
 - Product name
 - NFATC1 / NFAT2 Antibody (aa898-927) LS-C164842
 - Antibody type
 - Polyclonal
 - Description
 - Protein A purified
 - Reactivity
 - Human
 - Host
 - Rabbit
 - Storage
 - Maintain refrigerated at 2°C to 8°C for up to 6 months. For long term storage store at -20°C.
 
				No comments: Submit comment	
	
			
							
					Enhanced validation
					
									
				
				- Submitted by
 - LSBio (provider)
 - Enhanced method
 - Genetic validation
 - Main image
 
- Experimental details
 - NFATC1 Antibody western blot of NCI-H292 cell line lysates (35 ug/lane). The NFATC1 antibody detected the NFATC1 protein (arrow).
 
							
					Supportive validation
					
									
				
		- Submitted by
 - LSBio (provider)
 - Enhanced method
 - Genetic validation
 - Main image
 
- Experimental details
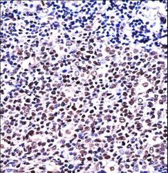
 - NFATC1 Antibody immunohistochemistry of formalin-fixed and paraffin-embedded human tonsil tissue followed by peroxidase-conjugated secondary antibody and DAB staining.
 
- Submitted by
 - LSBio (provider)
 - Enhanced method
 - Genetic validation
 - Main image
 
- Experimental details
 - NFATC1 Antibody immunohistochemistry of formalin-fixed and paraffin-embedded human tonsil tissue followed by peroxidase-conjugated secondary antibody and DAB staining.