Antibody data
- Antibody Data
- Antigen structure
- References [2]
- Comments [0]
- Validations
- Western blot [1]
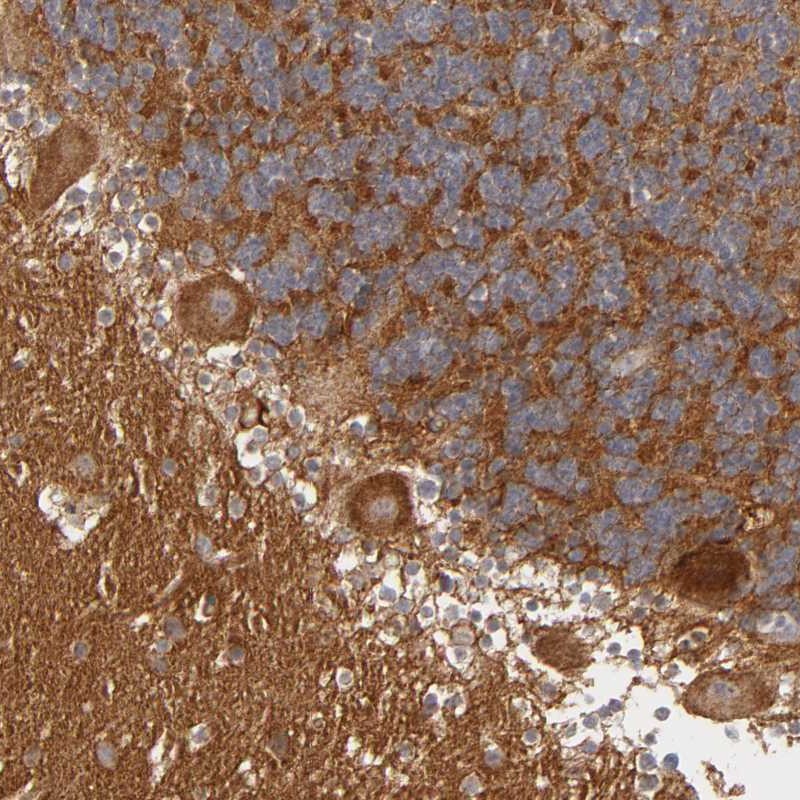
- Immunohistochemistry [1]
Submit
Validation data
Reference
Comment
Report error
- Product number
- sc-8417 - Provider product page

- Provider
- Santa Cruz Biotechnology
- Proper citation
- Santa Cruz Biotechnology Cat#sc-8417, RRID:AB_628021
- Product name
- Anti-MAP3K14
- Antibody type
- Monoclonal
- Antigen
- Recombinant full-length protein
- Reactivity
- Human
- Host
- Mouse
Submitted references RelB is differentially regulated by IkappaB Kinase-alpha in B cells and mouse lung by cigarette smoke.
Lipopolysaccharide from Salmonella enterica activates NF-kappaB through both classical and alternative pathways in primary B Lymphocytes.
Yang SR, Yao H, Rajendrasozhan S, Chung S, Edirisinghe I, Valvo S, Fromm G, McCabe MJ Jr, Sime PJ, Phipps RP, Li JD, Bulger M, Rahman I
American journal of respiratory cell and molecular biology 2009 Feb;40(2):147-58
American journal of respiratory cell and molecular biology 2009 Feb;40(2):147-58
Lipopolysaccharide from Salmonella enterica activates NF-kappaB through both classical and alternative pathways in primary B Lymphocytes.
Souvannavong V, Saidji N, Chaby R
Infection and immunity 2007 Oct;75(10):4998-5003
Infection and immunity 2007 Oct;75(10):4998-5003
No comments: Submit comment
Supportive validation
- Submitted by
- per
- Main image

- Experimental details
- Western blot analysis of antibody specificity using a routine panel composed of IgG/HSA-depleted human plasma and protein lysates from selected human tissues and cell lines.
- Validation comment
- No bands detected.
- Primary Ab dilution
- 1:500
- Secondary Ab dilution
- 1:7000
- Lane 1
- Marker [kDa]: 230, 110, 82, 49.3, 32.2, 25.5, 17.6
- Lane 2
- RT-4
- Lane 3
- U-251MG sp
- Lane 4
- Human Plasma
- Lane 5
- Liver
- Lane 6
- Tonsil
- Theoretical target weight
- [kDa] 47
Supportive validation
- Submitted by
- per
- Main image

- Experimental details
- Immunohistochemical staining of human cerebellum shows strong cytoplasmic positivity in purkinje cells.
- Validation comment
- Staining pattern partly consistent with experimental and/or bioinformatic data.