Antibody data
- Antibody Data
- Antigen structure
- References [0]
- Comments [0]
- Validations
- Western blot [1]
- Immunohistochemistry [1]
Submit
Validation data
Reference
Comment
Report error
- Product number
- AP20365PU-N - Provider product page

- Provider
- OriGene
- Product name
- NCF1 rabbit polyclonal antibody, Aff - Purified
- Antibody type
- Polyclonal
- Description
- NCF1 rabbit polyclonal antibody, Aff - Purified
- Host
- Rabbit
- Conjugate
- Unconjugated
- Epitope
- NCF1
- Antibody clone number
- NULL
- Vial size
- 100 µg
- Concentration
- 1.0 mg/ml
No comments: Submit comment
Supportive validation
- Submitted by
- OriGene (provider)
- Main image

- Experimental details
- Western blot analysis of p47-phox antibody (AP20365PU-N) in extracts from COS7 cells.
- Validation comment
- WB
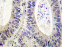
Supportive validation
- Submitted by
- OriGene (provider)
- Main image

- Experimental details
- Immunohistochemistry analyzes of p47-phox antibody (AP20365PU-N) in paraffin-embedded human colon carcinoma tissue.
- Validation comment
- IHC