Antibody data
- Antibody Data
- Antigen structure
- References [0]
- Comments [0]
- Validations
- Western blot [1]
- ELISA [1]
- Immunohistochemistry [2]
- Flow cytometry [1]
Submit
Validation data
Reference
Comment
Report error
- Product number
- GTX60597 - Provider product page

- Provider
- GeneTex
- Product name
- PKA C gamma antibody [2E4]
- Antibody type
- Monoclonal
- Reactivity
- Human
- Host
- Mouse
No comments: Submit comment
Supportive validation
- Submitted by
- GeneTex (provider)
- Main image

- Experimental details
- WB analysis of human PRKACG (a.a. 164-351) recombinant protein using PRKACG antibody [2E4].
Supportive validation
- Submitted by
- GeneTex (provider)
- Main image

- Experimental details
- ELISA analysis of control antigen and antigen using PRKACG antibody [2E4].
Supportive validation
- Submitted by
- GeneTex (provider)
- Main image

- Experimental details
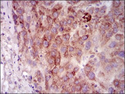
- IHC-P analysis of liver cancer tissues using PRKACG antibody [2E4].
- Submitted by
- GeneTex (provider)
- Main image

- Experimental details
- IHC-P analysis of rectum cancer tissues using PRKACG antibody [2E4].
Supportive validation
- Submitted by
- GeneTex (provider)
- Main image

- Experimental details
- FACS analysis of MCF-7 cells using PRKACG antibody [2E4] (green) or a negative control (red).