Antibody data
- Antibody Data
- Antigen structure
- References [3]
- Comments [0]
- Validations
- Western blot [1]
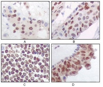
- Immunohistochemistry [1]
Submit
Validation data
Reference
Comment
Report error
- Product number
- ABIN1108138 - Provider product page

- Provider
- antibodies-online
- Product name
- anti-Mitogen-Activated Protein Kinase-Activated Protein Kinase 5 (MAPKAPK5) antibody
- Antibody type
- Monoclonal
- Description
- Ascites
- Reactivity
- Human
- Host
- Mouse
- Isotype
- IgG
- Antibody clone number
- 7H10B4
- Vial size
- 0.1 mL
Submitted references p38 mitogen-activated protein kinase (MAPK) first regulates filamentous actin at the 8-16-cell stage during preimplantation development.
Effect of different dietary ideal protein concentrations on broiler performance.
Regulation of PRAK subcellular location by p38 MAP kinases.
Paliga AJ, Natale DR, Watson AJ
Biology of the cell 2005 Aug;97(8):629-40
Biology of the cell 2005 Aug;97(8):629-40
Effect of different dietary ideal protein concentrations on broiler performance.
Wijtten PJ, Prak R, Lemme A, Langhout DJ
British poultry science 2004 Aug;45(4):504-11
British poultry science 2004 Aug;45(4):504-11
Regulation of PRAK subcellular location by p38 MAP kinases.
New L, Jiang Y, Han J
Molecular biology of the cell 2003 Jun;14(6):2603-16
Molecular biology of the cell 2003 Jun;14(6):2603-16
No comments: Submit comment
Supportive validation
- Submitted by
- antibodies-online (provider)
- Main image

- Experimental details
- WB
Supportive validation
- Submitted by
- antibodies-online (provider)
- Main image

- Experimental details
- IHC