Antibody data
- Antibody Data
- Antigen structure
- References [0]
- Comments [0]
- Validations
- Western blot [1]
- Immunocytochemistry [2]
- Immunohistochemistry [1]
Submit
Validation data
Reference
Comment
Report error
- Product number
- GTX37537 - Provider product page

- Provider
- GeneTex
- Proper citation
- GeneTex Cat#GTX37537, RRID:AB_11176699
- Product name
- Surfactant Protein D antibody
- Antibody type
- Polyclonal
- Reactivity
- Mouse, Rat
- Host
- Rabbit
No comments: Submit comment
Supportive validation
- Submitted by
- GeneTex (provider)
- Main image

- Experimental details
- WB analysis of mouse lung tissue using Surfactant protein D at a dilution of 1:500.
Supportive validation
- Submitted by
- GeneTex (provider)
- Main image

- Experimental details
- IHC analysis of mouse lung tissue using Surfactant protein D antibody at a dilution of 1:100 (red).
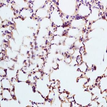
- Submitted by
- GeneTex (provider)
- Main image

- Experimental details
- IHC analysis of mouse lung tissue using Surfactant protein D at a dilution of 1:100.
Supportive validation
- Submitted by
- GeneTex (provider)
- Main image

- Experimental details
- IHC-P analysis of rat lung tissue using Surfactant Protein D antibody at a dilution of 1:200.