Antibody data
- Antibody Data
 - Antigen structure
 - References [2]
 - Comments [0]
 - Validations
 - Western blot [1]
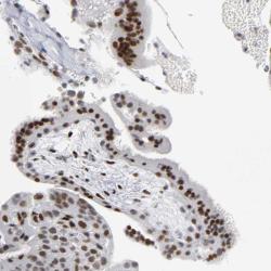
 - Immunohistochemistry [1]
 
Submit
Validation data
Reference
Comment
Report error
- Product number
 - sc-28305 - Provider product page

 - Provider
 - Santa Cruz Biotechnology
 - Proper citation
 - Santa Cruz Biotechnology Cat#sc-28305, RRID:AB_628274
 - Product name
 - Anti-SP3
 - Antibody type
 - Monoclonal
 - Antigen
 - Recombinant full-length protein
 - Reactivity
 - Human
 - Host
 - Mouse
 
Submitted references		The tumor suppressor gene KCTD11REN is regulated by Sp1 and methylation and its expression is reduced in tumors.
				
Involvement of Sp1/Sp3 in the activation of the GATA-1 erythroid promoter in K562 cells
				
		
	
			Mancarelli MM, Zazzeroni F, Ciccocioppo L, Capece D, Po A, Murgo S, Di Camillo R, Rinaldi C, Ferretti E, Gulino A, Alesse E
Molecular cancer 2010 Jun 30;9:172
		Molecular cancer 2010 Jun 30;9:172
Involvement of Sp1/Sp3 in the activation of the GATA-1 erythroid promoter in K562 cells
			Chun Hui Hou, Jian Huang, Qi Ye He, Cai Ning Zhang, Xue Jun Zhang, Ruo Lan Qian
Cell Research 2008 Jan;18(2):302-310
		Cell Research 2008 Jan;18(2):302-310
				No comments: Submit comment	
	
			
							
					Supportive validation
					
									
				
				- Submitted by
 - per
 - Main image
 
- Experimental details
 - Western blot analysis of antibody specificity using a routine panel composed of IgG/HSA-depleted human plasma and protein lysates from selected human tissues and cell lines.
 - Validation comment
 - No bands detected.
 - Primary Ab dilution
 - 1:500
 - Secondary Ab dilution
 - 1:7000
 - Lane 1
 - Marker [kDa]: 230, 110, 82, 49.3, 32.2, 25.5, 17.6
 - Lane 2
 - RT-4
 - Lane 3
 - U-251MG sp
 - Lane 4
 - Human Plasma
 - Lane 5
 - Liver
 - Lane 6
 - Tonsil
 - Theoretical target weight
 - [kDa] 82
 
							
					Supportive validation
					
									
				
		- Submitted by
 - per
 - Main image
 
- Experimental details
 - Immunohistochemical staining of human placenta shows strong nuclear positivity in trophoblastic cells.
 - Validation comment
 - Staining pattern consistent with experimental and/or bioinformatic data.