Antibody data
- Antibody Data
 - Antigen structure
 - References [0]
 - Comments [0]
 - Validations
 - Immunohistochemistry [1]
 
Submit
Validation data
Reference
Comment
Report error
- Product number
 - PB9508 - Provider product page

 - Provider
 - Boster Biological Technology
 - Product name
 - Anti-SP3?Antibody Picoband™
 - Antibody type
 - Polyclonal
 - Description
 - Polyclonal antibody for SP3 detection. Host: Rabbit.Size: 100μg/vial. Tested applications: IHC-P. Reactive species: Human. SP3 information: Molecular Weight: 81925 MW; Subcellular Localization: Nucleus. Nucleus, PML body. Localizes to the nuclear periphery and in nuclear dots when sumoylated. Some localization in PML nuclear bodies; Tissue Specificity: Ubiquitously expressed.
 - Reactivity
 - Human, Mouse, Rat
 - Host
 - Rabbit
 - Vial size
 - 100μg/vial
 - Concentration
 - Add 0.2ml of distilled water will yield a concentration of 500ug/ml.
 - Storage
 - At -20°C for one year. After reconstitution, at 4°C for one month. It can also be aliquoted and stored frozen at -20°C for a longer time. Avoid repeated freezing and thawing.
 - Handling
 - Add 0.2ml of distilled water will yield a concentration of 500ug/ml.
 
				No comments: Submit comment	
	
			
							
					Supportive validation
					
									
				
		- Submitted by
 - Boster Biological Technology (provider)
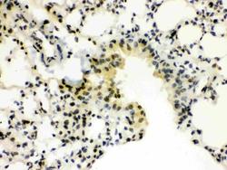
 - Main image
 
- Experimental details
 - Anti- SP3 Picoband antibody, PB9508, IHC(P)IHC(P): Rat Lung Tissue
 - Additional image
 